Casus mondzorg
Mondzorgcasussen: een patiënt komt bij u in de praktijk en wat ziet u? Wat is uw diagnose? Bekijk de casussen over tandheelkunde.

Casus: Crowned-denssyndroom veroorzaakt door tandheelkundige behandeling
Een casusrapport gepubliceerd in Clinical Case Reports laat zien dat het crowned-denssyndroom een zeldzame aandoening is die kan worden veroorzaakt door een tandheelkundige behandeling. De aandoening wordt gekenmerkt door ernstige nekpijn die kan leiden tot compressie van het ruggenmerg. In het rapport wordt een casus beschreven van een 80-jarige vrouw met het Crowned-denssyndroom.

Casusrapport van een man met kiespijn rechtsonder door triggerpoint in linker kauwspier
Een case-report gepubliceerd in The Journal of Dental Anesthesia and Pain Medicine laat een casus zien van een 30-jarige man zonder medische voorgeschiedenis met erg veel pijn van zijn eerste molaar rechtsonder.

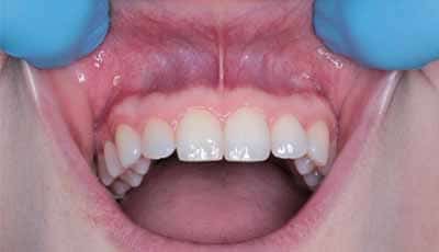
Casus: Het voorspelbaar sluiten van black triangles
Maarten de Beer, afgestudeerd in 2015, richt zich voornamelijk op restauratieve tandheelkunde. Hij legt volgende case study voor: Een patiënt meldde zich aan met een esthetische wens. Hij stoorde zich aan de kleine diastemen en black triangles tussen zijn tanden.

Casus: Extra knobbel veroorzaakt apicale parodontitis bij vrouwen
Cone-beam computertomografie (CBCT) scans laten zien dat de overtollige knobbel bij een vrouw een intact wortelkanaal heeft, dat is versmolten met het mesiobuccale kanaal. Dit leidde tot apicale parodontitis. Haar klinische symptomen verdwenen na een endodontische behandeling volgens een casusrapport in BMC Oral Health.

Casus: Subcutaan emfyseem na kroonpreparatie
In een casusrapport van het World Journal of Clinical Cases is gerapporteerd dat er lucht geblazen door een turbineboor vast is komen te zitten in een grote gezichtsader van een gezonde vrouw. Dit gebeurde tijdens de preparatie van de tandkroon en had tot levensbedreigende complicaties kunnen leiden.

Casusrapport: Endocarditis na tandextractie bij een gezonde vrouw
In een casusrapport gepubliceerd in the Journal of the American Dental Association werd een zeldzame infectieuze endocarditis vastgesteld bij een 54-jarige gezonde vrouw als gevolg van een tandheelkundige ingreep.

Casus: Tandheelkundige MRSA-infectie kan leiden tot wervelkolominfectie
In een casusrapport gepubliceerd in het Cureus Journal of Medical Science werd een 54-jarige man beschreven met een tandheelkundige MRSA-infectie die leidde tot een infectie in de cervicale en thoracale wervelkolom.

Casus: Nasaal geïmpacteerde asymptomatische mesiodens bij 13-jarige succesvol verwijderd met behulp van nieuwe techniek
Een nasaal geïmpacteerde asymptomatische mesiodens kan op verschillende manieren worden verwijderd. Een casusrapport in Advances in Oral and Maxillofacial Surgery beschrijft de succesvolle toepassing van een nieuwe chirurgische techniek, een gemodificeerde LeFort I vestibulaire incisie, bij een 13-jarige jongen.
Meer casus mondzorg

Casus: Vrouw gediagnosticeerd met ziekte van Munchausen
Een casusrapport gepubliceerd in Special Care in Dentistry laat zien dat een vrouw werd gediagnosticeerd met het Munchausen-syndroom nadat zij verschillende orale chirurgische ingrepen onderging. De vrouw onderging deze behandelingen vanwege aanhoudende tandpijn en mondzweren, echter konden de artsen geen medisch bewijs voor haar symptomen vinden waardoor de diagnose ‘Munchausen-syndroom’ werd gesteld.
8 april 2024/door Redactie
Casus: Zenuwbeschadiging van de nervus hypoglossus na infiltratie-anesthesie
Een 64-jarige vrouw in Tennessee ondervond tongverlamming na toediening van lokale infiltratie-anesthesie voor een tandheelkundige restauratie volgens een casusrapport gepubliceerd in Oral and Maxillofacial Surgery Cases. Door de tongverlamming is het vermogen om te praten aangetast
13 november 2023/door anitatest
Casusverslag: osteonecrose van de kaak mogelijk veroorzaakt door kankerimmunotherapie
Een 44-jarige vrouw heeft mogelijk osteonecrose van de kaak (ONJ) ontwikkeld als gevolg van kankerimmunotherapie. Volgens het casusrapport dat in Oral Surgery, Oral Medicine, Oral pathology and Oral Radiology is gepubliceerd is het pas het tweede gemelde geval van een verband tussen ONJ en pembrolizumab, een gehumaniseerd antilichaam dat wordt gebruikt bij de behandeling van meer dan twintig kankers.
19 augustus 2023/door Redactie
Casus: Tandachtige vasculaire laesie verwijderd bij 12-jarig meisje
Een 12-jarige meisje had een vasculaire laesie met verkalkte bloedstolsels in de buurt van de parotisklier. Vanwege het tandachtige uiterlijk op beeldvorm werd de vreemde massa verwijderd, waarna het flebolieten bleek te bevatten. Het casusrapport uit het Journal of Pediatric Surgery Case Reports verhoogt het bewustzijn van hoe een opeenhoping van flebolieten op beeldvorming kan verschijnen.
17 juli 2023/door Redactie
Casus: Zeer ongebruikelijk abces in kauwspier van 26-jarige man na verstandskiesextractie
Een 26-jarige man kon worden behandeld voor een zeer ongebruikelijk infratemporale fossa (ITF)-abces in een kauwspier nadat met behulp van beeldvorming een diagnose kon worden gesteld. Een casusrapport in het Cureus Journal of Medical Science beschrijft hoe het abces, dat ontstond na het trekken van een derde molaar, verdween na drainage en een antibioticakuur.
1 juli 2023/door Redactie
Casus: Kankermedicijn leidt mogelijk tot vertraagde genezing tandweefsel bij 58-jarige man
Een medicijn dat wordt gebruikt om kanker te behandelen heeft er mogelijk voor gezorgd dat het tandweefsel van een 58-jarige man zeer langzaam genas na een kaakoperatie. Volgens de auteurs van het casusrapport dat in het Journal of the American Dental Association is gepubliceerd moeten tandartsen zich bewust zijn van het feit dat dit kan gebeuren.
19 juni 2023/door Redactie
Video: Casuspresentatie – Stabiliteit na orthodontie
Op lange termijn streven we bij patiënten streven naar een microbiologisch evenwicht en occlusale stabiliteit in de mond. In deze video van de NVVRT wordt vooral ingegaan op de occlusale stabiliteit na orthodontie.
4 juni 2023/door Redactie
Casus: Levensgevaarlijke complicaties na operatie voor kwijlen bij zesjarige jongen
Een submandibulaire klierligatieprocedure om kwijlen onder controle te krijgen leidde bij een zesjarige jongen met autisme tot een levensbedreigende zwelling van de keel. De auteurs van een korte mededeling in Advances in Oral and Maxillofacial Surgery twijfelen aan de werkzaamheid van de klierligatieprocedure en benadrukken de mogelijke catastrofale complicaties, zoals bijna het geval bij deze patiënt.
4 juni 2023/door Redactie
Casus: Ingeslikte tandheelkundige kroon veroorzaakt appendicitis bij 51-jarige man
Het inslikken van een tandheelkundige kroon heeft bij een 51-jarige man geleid tot een ongewoon geval van appendicitis. Met behulp van beeldvorming kon de kroon worden verwijderd waarna de patiënt volledig herstelde, volgens een casusrapport in Cureus Journal of Medical Science.
22 mei 2023/door Redactie
Video: Casuspresentatie – Mal praxis
In deze video van de NVVRT worden de mogelijkheden en uitdagingen bij het gebruik van verschillende mallen en matrijzen in de mondzorg besproken. Daarnaast ook een introductie van een gefreesde mal voor het nauwkeurig en snel overzetten van een digitale set-up naar composiet in de mond.
8 mei 2023/door Redactie
Video: Restauratieve casuspresentatie
In deze video worden aan de hand van verschillende klinische…
17 april 2023/door Redactie
Casus: Zeldzame, levensbedreigende laesie na extractie van derde molaar bij 17-jarig meisje
Het verwijderen van een derde molaar bij een gezond 17-jarig meisje leidde tot een zeldzame, levensbedreigende vasculaire laesie die oncontroleerbare bloedingen veroorzaakte. Een casusrapport in Oral and Maxillofacial Surgery Cases beschrijft hoe beeldvorming hielp bij de behandeling van dit pseudo-aneurysma.
17 april 2023/door Redactie








Partnernieuws
Een goede mondgezondheid, een leven lang
Time for EXTRA: Profiteer nu van waardevolle extra’s van Miele