Casus: het belang van parodontale nazorg
Onvoldoende bestrijding van plaque en het ontbreken van de benodigde nazorg zijn de voornaamste oorzaken van tegenvallende resultaten en mislukking van parodontale behandeling. Bekijk de casus.
Het betreft een patiënte van 21 jaar met ernstige, postjuveniele parodontitis, die in 1985 ingestuurd wordt. We vinden actieve ontsteking, diepe tot zeer diepe pockets, beginnende furcatie-aandoeningen en gegeneraliseerde botafbraak, lokaal tot meer dan 50 %. De derde molaren zijn nog niet doorgebroken.

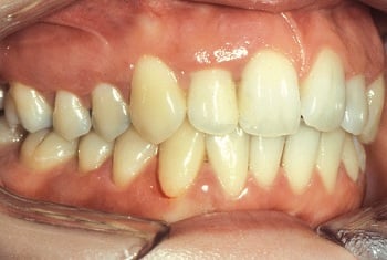
Afbeelding 1

Afbeelding 2
Afbeelding 1 en 2: 1985. Klinisch beeld bij het eerste bezoek van de patiënte: verkleurde, gezwollen marginale gingiva en interdentale papillen. De stippeling van de gingiva ontbreekt en er is bloeding.

Afbeelding 3
De pocketstatus toont de grotendeels zeer diepe pockets, de verhoogde bewegelijkheid van de elementen en de furcatie aandoeningen.

Afbeelding 4
De voortgeschreden bot afbraak met de furcatieproblematiek is overduidelijk, evenals de combinatie verticale botafbraak en de ongelukkige wortelvorm van de 14 en 24.
Behandeling
De behandeling is traditioneel: initiële therapie gevolgd door pocketeliminatiechirurgie. De bacteriologische kennis van parodontale ontstekingen is in die tijd nog beperkt, waardoor het gebruik van antibiotica niet overwogen wordt.
In de volgende jaren zien we na een periode van stabiliteit ondanks de goede plaquebestrijding door de patiënte en een goede nazorg toch een terugval.
In 1990, vier jaar na de chirurgie, zijn er een aantal te diepe actieve pockets te sonderen. De 47 gaat verloren. De röntgenfotos laten ten opzichte van 1985 geen verslechtering zien, op meerdere plaatsen zelfs verbetering.
Wat aan de röntgenstatus opvalt, is dat aan de 11, om voor ons onduidelijke redenen, een apexresectie met een retro-grade amalgaamrestauratie is uitgevoerd. Vanwege de ernstige botafbraak is een dergelijke behandeling hier gecontra-indiceerd, zeker daar bij een centrale bovenincisief een orthograde endodontische behandeling toch succesvol uitgevoerd kan worden. Het niet-gevulde kanaal en een apicale afsluiting met een grote kans op lekkage verslechteren de prognose van het element.

Afbeelding 5
1990. Pocketstatus vier jaar na aanvang van de behandeling: bij de 47 is de afbraak progressief.

Afbeelding 6
De röntgenstatus laat dan geen verdere botafbraak zien. De 11 heeft na een apexresectie weer wat houvast verloren.
De parodontale relaps behandelen we met extra subgingivale reiniging van de elementen met de diepe pockets ondersteund met een kuur tetracycline. Het gewenste resultaat, een blijvende pocketreductie, wordt hiermee niet bereikt. Door betere kennis van de bacteriologie wordt de behandeling in 1993 herhaald en nu ondersteund met een gecombineerde kuur metronidazol en amoxicilline. Hiermee bereiken we een stabiel en in de nazorg beheersbaar resultaat, er blijven alleen nog enige lokale pockets zoals bij de 14 en 24, die een ongelukkige wortelvorm hebben. Klinisch blijft alles jarenlang gezond, zelfs de 11.

Afbeelding 7
1998. Het beeld van een klinisch gezonde gingiva, acht jaar na de combikuur.

Afbeelding 8
Het botniveau rond de elementen is nagenoeg onveranderd in vergelijking met de status uit 1999 (afb. 6).

Afbeelding 9
2000. Pocketstatus, vijftien jaar na het begin van de behandeling: geen onbeheersbare pockets; zelfs de 24 is stabiel te houden.
In 2005 is er nauwelijks verandering opgetreden in vergelijking met de in 1993 bereikte toestand. De frequentie van nazorg is nu al zeven jaar beperkt tot tweemaal per jaar waarbij het parodontium stabiel blijft. Door de consequente nazorg en aanvullende behandelingen is het parodontium na 20 jaar gezond. Alles dankzij de samenwerking tussen behandelaar en patiënt.

Afbeelding 10

Afbeelding 11

Afbeelding 12

Afbeelding 13
Afbeelding 10-13. 2005. Twintig jaar na het begin van de behandeling. De klinische beelden, de pocketstatus en het OPG geven het beeld van een gebit in een klinisch gezond gereduceerd parodontium.
Lees het gehele artikel ‘Belang van parodontale nazorg’.
Door: J.P. van Hoeve
De heer J.P. van Hoeve is tandarts-parodontoloog. Van Hoeve werkte geruime tijd in de algemene praktijk. Later legde hij in zijn werkzaamheden de nadruk op parodontologie en prothetiek. Naast zijn werkzaamheden in de praktijk werkte Van Hoeve enkele jaren als medewerker in de vakgroep Parodontologie, studentenonderwijs en en PAOT aan de Radboud Universiteit Nijmegen. Ook is Van Hoeve jarenlang bestuurslid geweest van diverse tandheelkundige verenigingen. Sinds 2006 geeft Van Hoeve postacademisch onderwijs en cursussen aan mondhygiënisten en assistenten. Hij schreef het boek Parodontologie in de praktijk.











