Casus: patiënt met peri-implantitis bij de 21 en het belang van gedrag van patiënt
Een patiënt wordt ingestuurd met peri-implantitis bij de 21. Het implantaat is 10 jaar eerder geplaatst. Deze casus laat over een periode van 12 jaar zien hoe bepalend het niveau van de dagelijkse verzorging door de patiënt is voor een gezond parodontium en het behoud van het implantaat. Casus van parodontoloog en implantoloog Lodewijk Gründemann.
Na het verlies van een natuurlijk gebitselement wordt er tegenwoordig steeds vaker besloten tot het plaatsen van een tandheelkundig implantaat. Dat betekent ook dat tandheelkundige zorgverleners telkens frequenter geconfronteerd worden met mensen met tandheelkundige implantaten: elke praktijk heeft wel een aantal patiënten met een implantaat. Hoe gaan wij daar mee om?
In het verleden was hier in de opleidingen geen aandacht voor omdat de behandeling immers nog niet een algemene behandeloptie was. Tegenwoordig ligt dit anders en is een implantaat een algemeen goed geworden. Terwijl in het verleden de aandacht met name uit ging naar het voorspelbaar plaatsen van een tandheelkundig implantaat is de hedendaagse uitdaging om een reeds geplaatst implantaat zo lang en ontstekingsvrij mogelijk in de mond te houden.
Mondverzorging op hoog niveau
Vaak wordt er nog van uit gegaan dat wanneer een implantaat geplaatst, het probleem opgelost is. Meestal is dat ook zo, maar niet altijd. De realiteit is dat juist bij een patiënt met een tandheelkundig implantaat de mondverzorging op een hoog niveau behoort te zijn of moet worden gebracht. Hier wringt soms wel eens de schoen. Een tandheelkundig implantaat is eigenlijk niets anders dan een piercing die door de gingiva rechtstreeks in het bot geplaatst wordt, in een vochtige omgeving van 37 graden Celsius vol met bacteriën. Een soort broedstoof.
Richtlijn
Over hoe de nazorg bij een implantaat dient te verlopen daar wordt op dit moment in de opleidingen nog beperkt aandacht aan besteed. De NVvP en de NVOI hebben een aantal jaren geleden de handen ineengeslagen en in gezamenlijkheid daarvoor een duidelijke richtlijn ontwikkeld. Daarin is niet alleen aandacht voor de peri-implantaire nazorg omschreven maar wordt ook gewezen op de noodzaak van implantaire voorzorg. Dat betekent dat er eerst gezorgd dient te worden voor een parodontaal gezonde situatie voordat er geïmplanteerd gaat worden.
Uit onderzoek weten we inmiddels dat het ontstaan van peri-implantitis vaker voorkomt bij personen die gevoelig zijn voor parodontitis, die roken en waarbij de dagelijkse mondhygiëne niet op niveau is. In de nazorg is er een grote taak weggelegd voor het sonderen rond de implantaten om te onderzoeken hoe de conditie van de peri-implantaire weefsel is. Heel kort door de bocht kan gesteld worden dat bij constatering van mucositis (ontsteking rond een implantaat zonder botverlies) dit behandeld kan worden door het instellen / aanleren van een effectieve dagelijkse reiniging rond de restauratie op het implantaat. Wanneer er botverlies rond een implantaat geconstateerd wordt, aan de hand van een solo röntgenfoto, is er sprake van peri-implantitis en dient dit operatief behandeld te worden en is alleen het instellen van een effectieve dagelijkse mondhygiëne niet afdoende. De presentatie van een casus uit de praktijk laat zien wat er op dit moment mogelijk is en maakt duidelijk hoe belangrijk niet alleen een bezoek aan de mondhygiënist is maar dat er met name gefocust dient te worden op het niveau van de dagelijkse verzorging door de patiënt zelf. Ik maak dit regelmatig aan patiënten duidelijk door het behandelen van roest als metafoor te gebruiken:
Wij als zorgverleners kunnen de roest weghalen (plaque en tandsteen). Dan blijft er blank staal over. Of het weer gaat roesten hangt daarna van de verzorging van de patiënt af. Hoe nauwkeuriger en consequenter de patiënt het gebit verzorgt, hoe minder snel het weer zal gaan ontsteken (roesten).
Casus: patiënt met peri-implantitis bij de 21
Een patiënt wordt ingestuurd met peri-implantitis bij de 21. Het implantaat is 10 jaar eerder (in het jaar 2000) extern geplaatst en de uitgevoerde nazorg is gestopt omdat het volgens de behandelaar goed ging. De status met solo opname van het implantaat laat een gegeneraliseerde adulte parodontitis zien met peri-implantitis rond het implantaat 21 (zie status 1+ solo opname, 22 juni 2010)
Status 1
Klik hier voor een vergrote versie van de afbeeldingen
Status 2
Besloten is te beginnen met een initiële parodontale behandeling en nog een jaar parkeerfasebehandeling om de mondhygiëne op een hoger niveau te krijgen (gedrag). Bij de evaluatie van de initiële behandeling op 19 januari 2012 constateren we een zo goed als gezond gereduceerd parodontium – met ruimte voor verdere verbetering – en een verbeterde botsituatie rond het implantaat 21 (status 2 + solo opname).
Status 3
Op verzoek van de patiënt wordt de nazorg weer in de eigen omgeving voortgezet. Na twee jaar (8 oktober 2014) roepen wij de patiënt op voor controle op stabiliteit en wordt geconstateerd dat de parodontale en peri-implantaire conditie achteruit gaat en dat het niveau van de dagelijkse verzorging niet meer is wat hij was en zou moeten zijn. De verwijzer wordt gevraagd de nazorg aan te passen en te intensiveren: focussen op niveau dagelijkse mondhygiëne / gedragsverandering. Na wederom twee jaar (2 maart 2016) roepen wij de patiënt op voor controle op stabiliteit. Geconstateerd wordt dat de parodontale situatie niet stabiel is, met verhoogde bloeding, pockets en pusafvloed bij het natuurlijk element 15 en het implantaat 21. De botsituatie rond het implantaat is weer iets minder gunstig. (status 3 + solo opname).
Besloten wordt niet langer af te wachten en operatief in te grijpen en te werken aan een dagelijks toereikende mondhygiëne (gedragsverandering). Het doel is het peri-implantaire weefsel weer gezond te maken en het bot, voor zo ver mogelijk, te regenereren middels het aanbrengen van humane botkorrels en een bindweefseltransplantaat als membraan. Op de foto’s is duidelijk te zien hoe uitgebreid het verval rond het implantaat is.
Status 4
Bij de evaluatie op 11 mei 2017 wordt geconstateerd dat de doelstellingen zijn gehaald en er sprake is van een gezond peri-implantair weefsel met regeneratie van bot rond het implantaat (status 4 + solo opname).
Status 5
De nazorg wordt bij ons in de praktijk voortgezet waarbij de focus ligt op de beïnvloeding van het gedrag van de patiënt ten aanzien van de dagelijkse mondverzorging en niet op de reiniging door de zorgverlener. We merken dat het voor zorgverleners best wel eens lastig is om ingesleten gewoontes los te laten en de focus binnen een behandeling om te draaien van curatief naar preventief (gedragsbeïnvloeding). We zijn geneigd om de meeste aandacht te geven aan het sub- en supragingivaal reinigen van het gebit. Het komt bij ons in de praktijk geregeld voor dat de zorgverlener het gebit nauwelijks reinigt en de meeste tijd besteed wordt aan het toepassen van gedragsinterventietechnieken. Te denken valt aan motivational interviewing, goalsetting / planning, motivatie berichten, zelf controle, beeldbellen en de Tell show do methode.
De volgende evaluatie, na twee jaar, laat een stabiel en gezond parodontium / peri-implantair weefsel zien met een voortgaande verbetering van de botsituatie rond het implantaat 21 (status 5 + solo opname).
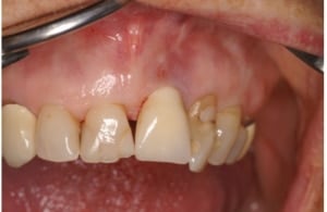
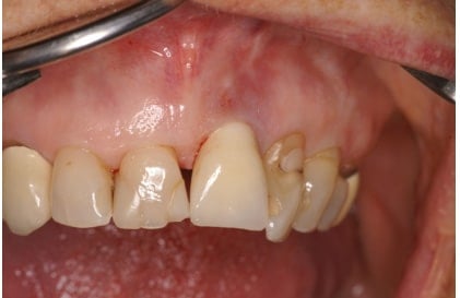
Situatie vóór en na chirurgie
Situatie 2017 voor chirurgie
Situatie 2 jaar na chirurgie
Nu de situatie stabiel is, verzoekt de patiënt wederom om nazorg in de eigen omgeving. Dit lijkt mij nu geen enkel probleem meer. De patiënt geeft aan dat haar duidelijk is dat de eigen inzet het resultaat op termijn bepaalt. Met de patiënt is afgesproken dat we jaarlijks haar parodontale / peri-implantaire situatie monitoren middels een evaluatie.
5 jaar na chirurgie
Op 28 april 2022, vijf jaar na chirurgie, roepen wij de patiënt weer op en heeft de laatste evaluatie plaatsgevonden. We troffen onderstaande situatie aan.
Er is sprake van een gezond gereduceerd parodontium / peri-implantair weefsel bij een erg goede dagelijkse mondhygiëne.
De patiënt, van inmiddels 76 jaar, is erg blij met het resultaat. Op mijn vraag of ze denkt de huidige situatie nu zelf onder controle te kunnen houden reageert ze emotioneel: “ja, absoluut! Ik wil mijn implantaat niet kwijt. Ik ben me nu heel bewust van wat er voor nodig is om mijn gebit goed te houden. Ik ben u daar eeuwig dankbaar voor”.
Mijn voorstel is dat zij de nazorg voort blijft zetten bij haar eigen mondzorgverleners in de buurt van haar woonplaats en bij mij afbehandeld is. Zij is daar zo blij mee dat zij mij vraagt of ze me een knuffel mag geven.
Wat kunnen we leren van deze casus?
-
Niet vanzelfsprekend
Een leermoment van deze casus is dat het niet vanzelfsprekend is dat de parodontale situatie rond een implantaat stabiel / gezond blijft.
-
Bewust maken
Er dient, zowel aandacht besteed te worden aan een stabiel en gezond parodontium voorafgaand aan het implanteren als aandacht aan een strikte parodontale / peri-implantaire nazorg. Daarbij is er een belangrijke rol weggelegd voor het jaarlijks sonderen rond het implantaat (of bij elke nazorg visite) en het regelmatig scoren van de plaque (PI <20%) om de zorgverlener en de patiënt bewust te maken van de staat van het parodontium / peri-implantair weefsel en het niveau van de gehanteerde dagelijkse reiniging.
-
Zo vroeg mogelijk stadium actie
Mocht er uiteindelijk toch mucositis of peri-implantitis ontwikkelen dan is het zaak om in een zo vroeg mogelijk stadium actie te ondernemen en te verwijzen zodat er nog kans is om het proces een halt toe te roepen zodat de patiënt nog lang plezier kan hebben van het geplaatste implantaat.
-
Gedrag
Het resultaat van ons (curatief) handelen wordt voor een heel groot deel bepaald door het niveau van de dagelijkse verzorging door de patiënt (gedrag). Wat misschien belangrijk is om ons te realiseren is dat het hebben van parodontitis of parodontaal verval een patiënt kenmerk is. Dat gaat niet meer weg. Dat is net zo iets als het hebben van diabetes of hoge bloeddruk. Behandeling daarvan is alleen succesvol als de patiënt zijn leefpatroon aanpast en / of consequent is met de medicatie. Het drie of vier keer per jaar bezoeken van de diabetesverpleegkundige of huisarts zal de (chronisch) aandoening niet doen verdwijnen. Het drie of vier keer per jaar bezoeken van de tandheelkundig zorgverlener zal het parodontaal / peri-implantair (dentaal) verval niet stoppen, hooguit remmen. De dagelijkse inzet van de patiënt zorgt voor ons succes; een stabiel, gezond, (gereduceerd) parodontium / peri-implantair weefsel. Het advies is dan ook (ongeveer) de helft van de behandeltijd te besteden aan het ondersteunen van de patiënt in het verkrijgen of onderhouden van een optimale mondhygiëne en motivatie.
Klik hier voor een vergrote versie van de afbeeldingen
Door:
Lodewijk Gründemann, parodontoloog en implantoloog bij Parodontologie Praktijk Friesland
Bekijk ook www.dentalcoach.app
Dental Coach is het tandheelkundige e-health preventieprogramma met een app voor het optimaliseren van de mondgezondheid.























