Casus: De transparante CAD-CAM pasfase
Soms is het nodig om keramische restauraties in te slijpen. Naast het feit dat dit zeer tijdrovend is – zeker in het geval van zirconiumoxide – zorgt dit ook voor een aanzienlijke verzwakking van de keramische materialen tot wel 50%.*
Deze achteruitgang kan alleen voorkomen worden door uitgebreid polijsten** of het opnieuw afglanzen van de restauraties in het laboratorium. Tevens zijn ingeslepen en niet optimaal gepolijste restauraties abrasief voor de antagonisten**
Monolitische restauratie zonder inslijpen
Door een pasfase in te lassen met een transparante, door middel van Cad-Cam vervaardigde restauratie, kan er een definitieve
monolitische restauratie vervaardigd worden waaraan u niets hoeft in te slijpen. In de bijgaande casus, tot stand gekomen in
samenwerking met Maurice Renting tandarts implantoloog in opleiding ACTA, kunt u zien hoe de procedure verloopt.
* Strength infl uencing variables on CAD/CAM zirconia frameworks h.wang et al dental materials (2008) 633-638
** International Journal of Oral Science (2014) 6, 241-246; doi: 10.1038/ijos.2014; published 25 Juli 2014
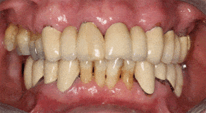
1. Oude situatie die vanwege secundaire cariës onder het bestaande kroon- en brugwerk (3e en 4e kwadrant) vervangen moet worden.
2. In verband met een bot-opbouw die gelijktijdig is uitgevoerd met het plaatsen van de implantaten, is gekozen voor bonelevel implantaten en een tweefasetechniek waarbij na 4 maanden de healingcaps zijn geplaatst. Vanwege de sterke klasse-2-relatie met een palatumbeet en slechts één occlusale eenheid is ervoor gekozen om eerst de beet te controleren met transparante pasbruggen.
3. De afdrukposten voor een open lepeltechniek (twee afdrukken voor extra controle).
4. Occlusaal aanzicht van de door middel van Cad-Cam vervaardigde bruggen. Het schroefgat bij implantaat 36 komt niet zo mooi uit en de brug heeft een lange distale cantilever. Dit kan worden aangepast.
5. Aanpassing vormgeving met behulp van de Straumann schroevendraaier en tefl ontape voor het vrijhouden van het schroefgat. Dit is door Maurice Renting aan de stoel uitgevoerd.
6. Aangepaste vormgeving in verband met de reinigingsmogelijkheden en verminderde belasting van de dorsale pijler.
7. Prematuur contact in het 4e kwadrant dat praktisch niet in te slijpen is in zirconiumoxide (zeker niet in de praktijk).
8. De ingeslepen en in vorm aangepaste transparante pasbruggen.
9. Copy gefreesd uit monolitisch zirconiumoxide.
10. Controle met de ragers.
11. Röntgenopname van geplaatste werkstukken.
Elysee Dental Essentials magazine
Deze casus is gepubliceerd in de Elysee Dental Essentials uitgave
Wilt u het tandtechnische magazine Essentials 2 keer per jaar kosteloos ontvangen? Mail dan marketing@elysee-dental.nl


























