Het tandvleesrandje: minimaal invasief
Wanneer we spreken over minimaal invasieve tandheelkunde, is dit een breed begrip. Maar volgens Giles de Quincey moeten we het ook hebben over interdisciplinair werken, want we doen het niet alleen. Wat kan de parodontoloog betekenen voor een endodontoloog? En wat kan een parodontoloog bijdragen aan het werk van een orthodontist? Lees het verslag van zijn lezing tijdens MINIMAAL INVASIEF.
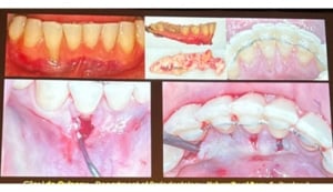
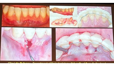
Aan de hand van een casus vertelt Giles over hoe hij met een kleine incisie in het frenulum een bindweefsel transplantaat uit het tuber via een tunnelingtechniek, inbrengt. Hiervoor gebruikt hij zijn speciale donkere tunnelinstrumenten, die hem beter zicht geven tijdens de procedure. Zo kan hij het weefsel nauwkeurig naar binnen hechten. Door slechts een klein stukje tandvlees toe te voegen, bespaar je de patiënt veel gedoe en ongemak.
Gingivale hyperplasie: classificatie en etiologie
Giles bespreekt verschillende oorzaken van gingiva hyperplasie en licht de volgende punten toe:
- Plaque-geïnduceerde hyperplasie versus anatomie (genetica)
- Diagnostiek: het gingivaverloop, het marginale botniveau en slijtage van de tanden
- Behandelopties en keuze van de therapeutische benadering
- Interactie met orthodontie
- Resultaten op de lange termijn
Hyperplastische reacties staan minder in de belangstelling, omdat men bij orthodontie eerder oog heeft voor recessies. Maar, benadrukt Giles, hyperplasie komt eveneens regelmatig voor bij orthodontische behandelingen. Hierin spelen plaque, anatomie, genetica en de interactie met orthodontische apparatuur een rol.
Medicatiegebruik
In een andere casus laat Giles zien dat bepaalde combinatiers van medicatiegebruik gingivale hyperplasie kan kunnen veroorzaken. Door middel van een CO₂-laser kan de overgroeide gingiva eenvoudig worden verwijderd. Zo wordt met een relatief eenvoudige, minimaal invasieve ingreep een ongezonde mondsituatie aanzienlijk verbeterd.
De ‘gummy smile’
Een gummy smile komt vaker voor bij vrouwen dan bij mannen. In gevallen zoals bij de casus die Giles laat zien, maakt Giles een mock-up (eventueel in combinatie met Digital Smile Design), waarbij hij op portretfoto’s visueel maakt hoe het uiteindelijke resultaat eruit kan komen te zien. Zo ziet de patiënt het verschil wanneer de gingivarand cervicaal wordt aangepast. Giles sondeert vervolgens het bot. Indien de afstand tussen de gingivarand en het bot slechts 3 mm bedraagt, en je voert een gingivectomie uit, dan zal het tandvlees hoogstwaarschijnlijk terug groeien. Giles benadrukt dan ook dat een gingivectomie geen kroonverlenging is. Voor een echte kroonverlenging moet er ook aan het cervicale botniveau worden gebewerkt, waarbij dikke papillen vermeden moeten worden en de groeven tussen elementen duidelijk geaccentueerd blijven.
Erfelijkheid en esthetiek
Giles toont daarna de moeder van de eerder besproken patiënt. Waarom? Vanwege genetica. De moeder had tot ver in haar dertiger jaren last van haar gummy smile. Voor haar zoon wilde ze dat hij dit stigma niet hoefde te dragen. Giles behandelde haar dertien jaar eerder op exact dezelfde manier. Destijds werd er ook een composiet mock-up gemaakt om het eindresultaat pre-operatief visueel te maken.
Hieruit blijkt volgens Giles het belang van erfelijkheid: kinderen van ouders met een gummy smile hebben een grotere kans er zelf ook een gummy smile te ontwikkelen.
Orthodontie en gingivale reactie
In Brazilië is een onderzoek uitgevoerd naar wat er precies gebeurt met papillen tijdens orthodontische behandelingen. Daaruit blijkt dat er een gradatie is:
- Normale papil
- Licht verdikte papil
- Duidelijk verdikte papil
- Papil die het element overgroeit (zelden)
De papillaire reactie komt vaker voor dan gedacht. Giles toont een casus van een jongen die voorafgaand aan de behandeling geen hyperplasie had. Na het dragen van vaste apparatuur en het verwijderen ervan persisteerde toch een hyperplastische reactie. In dit geval was een gingivectomie met laser aangewezen, inclusief een kleine frenectomie. De ingreep werd uitgevoerd zonder bloeding, snel en minimaal invasief.
Giles vergelijkt hierbij de werking van een elektrotoom en een laser. De elektrotoom genereert diepere weefselverhitting en dus grotere schade aan onderliggende structuren. De laser daarentegen werkt plaatselijk en precies, wat het volgens Giles een veel verfijnder instrument maakt.
Esthetische kroonverlenging
Giles verwijst naar een publicatie: Modified technique for esthetic crown lengthening in the natural dentition. De vraag rijst of je per sé een CBCT nodig hebt bij het plannen van een kroonverlenging. Giles is duidelijk: als je dit vaak hebt gedaan, en een goed gevoel hebt ontwikkeld voor weefsels en bot, dan is het niet altijd nodig.
Maar ben je nog beginnend, dan geldt: “If you fail to plan, you plan to fail.”
Chirurgie met template
In een andere casus voert Giles botcorrectie uit met behulp van een “surgical template” dat die de incisiegeleiding mogelijk maakt. Eerst worden guirlandevormige incisies gemaakt, daarna wordt het bot bewerkt met een piezo-elektrisch instrument. Als het bot echter te dik is, kan er een gootje in de marginale botrand ontstaan, er kunnen eventueel dan verdikte papillen overblijven in de prothetische fase. Dit is op het eerste gezicht niet zichtbaar, maar na 3 à 4 jaar wordt het vaak duidelijker. Het is een langzaam proces.
Giles benadrukt de eenvoud van de analoge mock-up en hoe belangrijk het is om het eindresultaat op lange termijn voor de patiënt zichtbaar te maken. Hij verlengt bij voorkeur aan één zijde post-canien met composiet, bijvoorbeeld één premolaar in één kwadrant wél en de andere premolaar niet, zodat de patiënt het verschil en effect op de zgn. “buccal corridor” kan zien. Zo weet een patiënt beter “wat hij of zij wil”.
Mucogingivale deformaties
Vanuit deze casus maakt Giles de brug naar het onderwerp recessies. Binnen de classificatie van de European Federation of Periodontology en de American Academy of Periodontology wordt gesproken over mucogingivale deformaties. De traditionele Miller-classificaties zijn vervangen door de RT1, RT2 en RT3-indeling. Giles bespreekt de voor- en nadelen van deze nieuwe indeling uitgebreid. Een belangrijk voordeel is dat er tegenwoordig nadrukkelijk gekeken wordt naar de glazuur-cementgrens.
“Is deze GCG nog intact? Kun je hem nog voelen, ondanks wat slijtage? En wat doe je bij een NCCL, abrasie of erosiegroef?”
In sommige gevallen, stelt hij, is het verstandig om vóór de chirurgie adhesief een nieuwe GCG aan te brengen. Dat geeft richting bij het positioneren van de gingiva. In andere gevallen kiest Giles ervoor om juist eerst de recessie te bedekken en daarna te laten afwerken door de restauratief tandarts. “Dit is een belangrijk beslismoment, en moet zorgvuldig worden overwogen,” benadrukt hij.
De RT-indeling toegelicht door Giles
- RT1: Er is nog gekeratiniseerde gingiva en geen verlies van interdentale papil.
- RT2: Recessie is aanwezig en interdentaal botverlies, maar niet voorbij de mucogingivale lijn.
- RT3: Uitgebreid interdentaal bot- en weefselverlies, vergelijkbaar met de vroegere Miller klasse IV.
Kortom, Giles vindt de Miller-classificatie nog steeds van waarde. Bij klasse 1 van Miller is er nog gekeratiniseerde gingiva en zijn intacte papillen aanwezig, terwijl klasse 2 van Miller de mucogingivale lijn overschrijdt. Bij de RT1-classificatie worden deze twee situaties op één hoop gegooid. Giles vindt het echter van groot belang om te weten welk type weefsel er apicaal nog aanwezig is, vooral gezien de invloed op de keus voor een weefselvervanger in het belang van minimaal invasief werken.
Minimaal invasief versus palatumtransplantaat
Giles legt uit dat hij bij recessiebedekking – wanneer mogelijk – de voorkeur geeft aan weefselvervangers, oftewel een “stukje uit een doosje”, boven een transplantaat uit het palatum.
“Palatumtransplantaten kunnen veel napijn veroorzaken en zijn allesbehalve minimaal invasief,” aldus Giles.
RT3: orthodontie als aanvullende strategie
Voor RT3-recessies, waarbij sprake is van vlakke papillen of zelfs papilkraters, stelt Giles dat chirurgische correctie vaak geen optie meer is. In die gevallen overweegt hij orthodontische extrusie, hiermee kun je het weefsel soms als het ware ‘meenemen’, legt hij uit.
‘Recessie – reden tot zorg!’
In zijn artikel ‘Uit de paropraktijk: Recessie – reden tot zorg!’ (NVvP), laat Giles zien hoe ver recessies kunnen gaan. In één van de beschreven gevallen waren de betrokken elementen zelfs avitaal geworden. Wat is dan nog de juiste oplossing? Endo’s? Apicale chirurgie? Orthodontische herbehandeling? Of – zoals Giles heeft uitgevoerd – twee autologe etsbruggen en spalken. Giles is van mening dat de autologe etsbrug de minst invasieve oplossing is voor tandvervanging in het front.
Precisie-instrumentarium: favorieten van Giles
Giles benadrukt dat vergroting alleen niet voldoende is. Volgens hem heb je ook instrumenten nodig die je in staat stellen om zeer precies te werken. Hij verwijst naar HU-Friedy instrumentarium, maar stelt ook dat een scalpel rond moet zijn, zodat je het tussen je vingers kunt rollen. Dan is er sprake van meer controle. Als je je hele pols of onderarm moet bewegen, verlies je controle.
Twee van zijn favoriete tunnelinstrumenten zijn ontworpen door hemzelf en in productie genomen door HU-Friedy. Hun zwarte coating biedt optische feedback en laat het instrument goed doorschemeren in het weefsel – ideaal voor het werken in dunne gingiva/mucosa.
Spalken en ongewenste rotatie
In een andere casus beschrijft Giles hoe elementen tegenovergesteld roteren wanneer de spalk actief is geworden (A. Renkema in haar proefschrift). Bij patiënten die nagelbijten, pennen bijten of knarsen, loop je meer risico op het activeren van de spalk. In dat geval raadt hij aan om een gewalste spalk te gebruiken – deze kan namelijk niet actief worden. Bij veel complicaties van een spalk, suggereert hij vervangen van de spalk en revisie met een gewalste spalk.
Bindweefseltransplantaat (BWT)
Giles verwijst naar het artikel: ‘Surgical Treatment of Gingiva Recessions Using Emodogain Clinical Procedure and Case’. Uit dat onderzoek blijkt dat slechts bij 1/3 van de recessies voldoende weefseldikte aanwezig is en een coronale verplaatsing dus volstaat. Maar bij 2/3 is extra bindweefsel nodig – daar komt het BWT om de hoek kijken. De grenswaarde is een flapdikte van 1,1 mm voor cornaalwaarste verplaasting alleen.
Maar waar komt het bindweefsel vandaan? Meestal uit het palatum – regio distaal van 23 tot mesiopalatinaal 26. Let op: hoe verder naar achteren, hoe meer kans op tori of exostoses. Sommige operateurs zijn bang voor de vaatzenuwstreng, maar zolang je wegblijft uit de transitie van het verticale deel naar het horizontale deel van het palatum, hoef je niet bang te zijn.
Technieken en inzichten
Giles gebruikt het meest een techniek waarbij wordt begonnen met een horizontale incisie, loodrecht op het palatum. Vervolgens dunt hij het weefsel uit om met een tweede incisie het transplantaat te verwijderen. Recente studies tonen aan dat er soms wortelresorptie optreedt bij contact met het transplantaat, de periostzijde naar het worteloppervlak kan dit risico evt. reduceren. Dit wordt echter nog bediscussieerd in de literatuur.
Creeping attachment
Een onderzoek uit 1998 in Italië vergeleek coronaal verplaatste flappen met een ontlastingsincisie, zowel met als zonder BWT. Beide groepen begonnen met een recessie van 3 tot 3,5 mm en vertoonden op korte termijn recessiereductie. Op de lange termijn bleek echter dat de BWT-groep steeds betere resultaten vertoonde, door het fenomeen ‘creeping attachment’. Volgens Giles pleit dit nog meer mede voor het gebruik van een BWT.
Recessiebehandeling met aangepast een gemodificeerd transplantaat
In specifieke gevallen waarbij een element zonder recessie tussen elementen met recessie ligt, past Giles een technische aanpassing toe op het BWT. Door een kleine incisie te maken in het transplantaat, wordt het mogelijk om het transplantaat te verlengen, zodat het aangepast kan worden aan de lokale situatie. Hierdoor wordt voorkomen dat er een overmatige verdikking ontstaat waar dit niet nodig is. Deze techniek zorgt ervoor dat het weefsel precies daar wordt toegevoegd waar het een functionele bijdrage levert, en niet op plaatsen waar dit overbodig is.
Second Harvest
Giles heeft jaren geleden histologisch onderzoek gedaan naar de kwaliteit van een tweede weefselontname uit het palatum. Hieruit blijkt dat dit tweede transplantaat doorgaans stugger is en kwalitatief beter dan de eerste oogst. Op basis hiervan kiest hij er vaak voor om eerst de eenvoudigere recessie te behandelen, zodat hij voor de complexere tweede behandeling een kwalitatief superieur transplantaat beschikbaar heeft.
Digitale toepassingen in de parodontale chirurgie
Een recente ontwikkeling in Giles’ werkwijze is het digitaliseren van het proces: zowel de mondsituatie als het BWT worden gescand. Dit maakt het mogelijk om visueel inzicht te krijgen in de dikteverandering van het weefsel na behandeling, onder andere door het fenomeen van creeping attachment, waarbij het tandvlees zich na verloop van tijd verder naar coronaal verplaatst, wat de esthetische en functionele resultaten verder verbetert.
Tunnelen: een verfijnde techniek
Giles is een groot voorstander van de tunneling-techniek, waarin de marginale gingiva en mucosa los wordt geprepareerd zonder het doorsnijden van de papillen. Deze methode, geïntroduceerd door oa. Ion Zabalegui, vereist specifieke instrumenten zoals microblades en geavanceerde hechttechnieken die het mogelijk maken het transplantaat via de tunnel te plaatsen. In sommige gevallen kan een hulpincisie noodzakelijk zijn om toegang te verkrijgen. De techniek vraagt ervaring en precisie, maar biedt esthetisch superieure resultaten.
Nadelen van BWT
Hoewel het gebruik van autoloog bindweefsel goede resultaten geeft, kent het ook nadelen:
- Verhoogde morbiditeit
- Risico op postoperatieve nabloedingen
- Verminderd gevoel van het palatum
- Het palatum heeft een beperkte Hoeveelheid zacht weefsel beschikbaar
- Langere operatieduur
Giles ziet vanwege de nadelen van een BWT, veel toekomst in het gebruik van bindweefselvervangers. Over het algemeen geneest het oogsten van een BWT goed en de resultaten zijn mooi, maar het zou fijn zijn als we andere alternatieven kunnen gebruiken. Het oogsten van een BWT leidt meestal wel tot meer pijn. Een incisie die je niet maakt, kan per definitie geen pijn veroorzaken. Als je het palatum niet aanraakt, is het in feite minder invasief. Nabloedingen komen zelden voor bij Giles, maar het palatum kan na de ingreep soms wat verdoofd aanvoelen.
Aan de hand van verschillende casussen toont Giles aan dat er toch ongemak kan optreden. Het palatum geneest niet altijd optimaal, en patiënten blijven dit vervelend vinden. Dit sluit niet aan bij de minimaal invasieve benadering van Giles. We moeten ons realiseren dat wanneer we met chirurgie bezig zijn, er ongewilde complicaties kunnen optreden.
Bindweefselvervangers: alternatieven voor autoloog weefsel
Giles noemt verschillende soorten vervangers:
- Menselijke oorsprong: Alloderm (niet langer beschikbaar in de EU), Tutodent Dermis.
- Dierlijke oorsprong: Mucograft®, Mucoderm®, FibroGide®, en Novomatrix®.
Onderzoek Sofia Aroca
Onderzoek van Sofia Aroca toont aan dat MCAF in combinatie met Mucograft goede resultaten geeft bij Miller klasse I en II-recessies.
Voorlopige resultaten van haar onderzoek waren:
- Uitstekende postoperatieve genezing met minimale ontstekingsreacties.
- Volledige bedekking werd verkregen bij recessies van Miller Klasse I en II.
- Het hanteren van het materiaal is in bepaalde gevallen moeilijk (bijvoorbeeld bij heviger bloeden). Het materiaal moet droog worden aangebracht.
- De blootgestelde delen van het materiaal desintegreren zeer snel: dit impliceert dat de matrix altijd volledig bedekt moet zijn.
Selectiecriteria en materiaalkeuze
Een belangrijk punt dat Giles benadrukt, is dat niet elk geval geschikt is voor het gebruik van vervangend weefsel. In situaties met uitgebreide buccale en linguale recessies moeten aanvullende technieken worden ingezet, zoals strategisch geplaatste incisiepunten en tunneling aan beide zijden in één sessie. Hierbij worden hechtingen geplaatst aan de tegenovergestelde zijde van de recessie.
Meisje van 14 jaar – Casus
De gingiva was wat ontspoord nadat de beugel was verwijderd, en er waren enkele recessies zichtbaar. Ze voldeed aan alle criteria en had nog steeds gekeratiniseerde gingiva op alle plaatsen. Vroeger zouden we dit Miller Klasse 1 noemen.
Giles had net het Novomatrix-materiaal ontvangen. In één afspraak is het volgende uitgevoerd: tunnelen, het transplantaat induwen, hechtingen palatinaal plaatsen, en de resultaten voldoen aan de succescriteria op lange termijn.
Conclusie: Het is mogelijk! Maar wanneer is het niet mogelijk?
Wanneer kan het niet met vervangende weefsels?
In een casus waarbij zowel de linguale als de buccale recessies aanwezig waren. De patiënt werd orthodontisch herbehandeld en de elementen werden in een biologische envelop geplaatst. Giles tunnelde zowel linguaal als buccaal. Hij maakte op een strategische manier een incisie in de papilbasis en kon daardoor naar de andere kant tunnelen om daar bij te komen. Bij behandelingen van linguale recessies komen alle hechtingen buccaal, en bij behandelingen van buccale recessies komen alle hechtingen linguaal. Het transplantaat werd in twee stukken verdeeld, waardoor het mogelijk was om zowel buccaal als linguaal in één zitting te behandelen.
De charme van parodontale regeneratie is dat er geen kunstmatige materialen aan te pas komen
Combinatie van technieken
Soms is een combinatie van BWT en weefselvervanger aangewezen. Dit gebeurt in drie gevallen:
- Wanneer BWT op zichzelf onvoldoende volume biedt.
- Wanneer BWT wordt gebruikt om de weefselvervanger te beschermen.
- Wanneer de weefselvervanger het BWT aanvult
Recessies bij implantaten
Aan de hand van een casus bespreekt Giles de complexiteit van recessies bij implantaten. Bij jonge patiënten die nog in de groei zijn, waarbij geïmplanteerd wordt, kunnen implantaten achterblijven ten opzichte van de natuurlijke dentitie. Dit kan leiden tot afvlakking van de premaxilla en weefselverschuivingen, wat de kans op recessie verhoogt. Hierbij is het cruciaal om in te grijpen met een holistische benadering waarin ook orthodontie wordt overwogen.
Alles-in-één casus
In een uitgebreide casus uit 2005 werd bij een patiënt een autologe mock-up uitgevoerd met composiet en een zwarte stift om een esthetisch eindresultaat te visualiseren. Over de jaren heen keerden recessies terug. In 2024, bijna 20 jaar later kon, dankzij gerichte toepassing van autoloog weefsel gecombineerd met een bindweefselvervanger, een herstelingreep worden uitgevoerd. Hierdoor kon het bestaande kroon- en brugwerk gehandhaafd blijven. Daar waar de recessie het verst gevorderd was, gebruikt Giles autoloog weefsel en waar de recessie minder ver was gevorderd was gebruikt hij een bindweefselvervanger. Hij hoeft dan toch een minder groot stuk uit het palatum te halen.
Dit illustreert het belang van maatwerk en het selectief toepassen van minder invasieve technieken.
Giles de Quincey studeerde tandheelkunde in Nijmegen en heeft inmiddels al bijna 35 jaar een praktijk in Den Bosch. Sinds 2017 is hij actief in het onderwijs aan de Universiteit van Bern.
Verslag door Mina Fadhil van de lezing van Giles de Quincey tijdens MINIMAAL INVASIEF2025 van Bureau Kalker.


















