GrandioSO, het composiet voor de hoogste eisen
GrandioSO, het universele nano hybride composiet geschikt voor alle caviteitsklassen voldoet aan de hoogste eisen voor restauraties in anterior en posterior indicaties. GrandioSO is geschikt voor klasse I tot V restauraties, reconstructies van traumatisch beschadigde anterior elementen, verblokken en spalken van loszittende elementen, correctie van kleur en vorm om de esthetiek te verbeteren, stompopbouw voor kronen en het maken van composiet inlays.
GrandioSO, het meest tandgelijke composiet
GrandioSO valt op door zijn uitstekende materiaal eigenschappen en is wereldwijd gezien het meest tandgelijke materiaal in de som van de fysische parameters. Het composiet zorgt voor duurzame en esthetische restauraties door onder andere de zeer hoge vulgraad (89 gew.%) en lage krimp (1,61%), hoge druk en trekstrekte (Respectievelijk 439 MPa en 187 MPa), E-modulus (16,65 GPa) en thermisch expansie gedrag (α= 27.3x[10-6xK-1]) gelijk aan dentine, zeer hoge oppervlakte hardheid (210,9 MHV), lage abrasie (18µm, ACTA na 200.000 cycli) evenals een optimale balans tussen translucentheid en opaciteit. GrandioSO laat zich gemakkelijk polijsten en door de hoge abrasie weerstand blijft de restauraties continue glanzen. 16 verschillende kleuren, inclusief de nieuwe kleuren GA3.25 en GA5 dekken het benodigde dentale spectrum af.
Optimaal verwerken
GrandioSO overtuigd tevens door zijn optimale verwerkings eigenschappen. Door zijn smeuïge consistentie is het materiaal gemakkelijk stop- en modelleerbaar zonder aan het instrument te kleven.
GrandioSO kan tevens bijzonder lang verwerkt worden onder omgevingslicht met zeer korte uithardingstijden tijdens de aansluitende polymerisatie. Hierbij zijn 10 seconden bij laagdiktes van 2 mm mogelijk, waarbij het materiaal volledig doorhard. GrandioSO is zowel in éénhandig te bedienen draaispuiten als ook in capsules te verkrijgen.
Indicaties
- Vullingen van klasse I tot V caviteiten
- Reconstructie van traumatisch beschadigde anterior elementen
- Aanbrengen van facings over verkleurde elementen
- Vormcorrectie en kleur voor verbeterde esthetiek
- Vastzetten, splinten van loszittende elementen
- Repareren van veneers
- Restauratie van het melkgebit
- Stompopbouw onder kronen
- Composiet inlays
Voordelen
- Tandgelijk restauratiemateriaal voor betrouwbare restauraties
- Zeer hoge vulgraad 89 gew.-%
- Universeel voor de hoogste eisen zowel in het anterior als posterior bereik
- Uitstekende weerstand tegen de operatielamp
- Optimaal op elkaar afstemmen van opaak en translucent zorgt voor het spiegelen van de natuurlijke tand met slechts gebruik van één kleur
- Intelligent kleursysteem met nieuwe kleuren GA3.25 en GA5 die nut hebben voor elke klinische situatie
- Smeuïge consistentie, niet-kleverig, goed modelleerbaar
- Gemakkelijk op hoogglans te polijsten blijvend glad oppervlak
- Te gebruiken met alle conventionele bondingsystemen
VOCO biedt ook een GrandioSO Trial Pack aan dat bestaat uit 2x caps A2, 2x caps A3, 2x caps GA3.25, 2x caps GA5, 1 spuitje GrandioSO Heavy Flow A3, 1 grote vlam van het Dimanto polijst systeem plus toebehoren.
Fabrikant
VOCO GmbH
Postbus 767
27457 Cuxhaven
Duitsland
I www.voco.com
E info@voco.com
Meer informatie
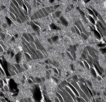
Transmission-electron microscopy van GrandioSO
Homogene verdeling van nano- and micro-fillers in de hars matrix.
Bron: Prof Dr Detlef Behrend, Universiteit Rostock/Duitsland
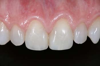
Klinische casus 1
Reastauratie met GrandioSO in het anterior gebied
Figuur 1: Close-up van de tanden 11 en 21 met 15 jaar oude composiet vullingen, voor de behandeling
Figuur 2: Vervangen composiet restauraties
Bron: Dr Frank J. Milnar, St. Paul/Verenigde Staten van Amerika
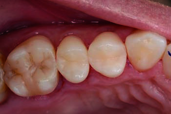
Klinische casus 2
Restauratie met GrandioSO in het posterieur gebied.
Figuur 1: Bestaande amalgaam restauraties van de tanden 14 en 15
Figuur 2: Voltooide restauratie van het 1e quadrant.
Bron: Dr Walter Denner, Fulda/Duitsland


















Plaats een Reactie
Meepraten?Draag gerust bij!