CBS: Meer mensen bezoeken mondhygiënist

CBS: Meer mensen bezoeken mondhygiënist

In 2018 ging 36 procent van de 12-plussers naar de mondhygiënist. In 2014 was dat nog 28 procent. Het contact met tandarts en orthodontist veranderde nauwelijks sinds 2014. De orthodontist wordt vooral bezocht door jongeren. Dit blijkt uit de resultaten van de Gezondheidsenquête van het CBS.

Bezoek aan tandarts, orthodontist en mondhygiënist

De CBS-cijfers laten zien dat 80 procent van de Nederlanders in de afgelopen 12 maanden contact had met de tandarts.  Van kinderen van 4 tot 18 jaar was dit zelfs 96 procent. De orthodontist wordt bezocht door 8 procent van de totale Nederlandse bevolking van 8 jaar of ouder.

 

Bezoek-tandarts,-mondhygienist-en-orthodontist

Mondhygiënist wordt meest bezocht door 40- tot 65-jarigen

42 procent van de 40- tot 65-jarigen gaf aan in de voorafgaande 12 maanden een mondhygiënist te hebben bezocht, dit is vaker dan andere leeftijdsgroepen. De orthodontist werd het meest bezocht door 8- tot 18-jarigen (36 procent). Onder volwassenen (18-plus) is dit met minder dan 5 procent aanzienlijk lager.

Jonge kinderen van 0 tot 4 jaar komen niet vaak bij de tandarts (34%) en dit verandert vanaf 4 jaar: bijna elk kind van 4 jaar en ouder bezoekt de tandarts (96 procent van de 4- tot 18-jarigen).
Vrouwen bezoeken iets vaker dan mannen een tandarts of mondhygiënist. Voor het bezoek aan de orthodontist geldt dit verschil alleen voor jongeren (8 tot 18 jaar).

 

Bezoek-tandarts,-mondhygienist-en-orthodontist-2

Mensen met weinig inkomen bezoeken tandarts minder vaak

In 2018 bezocht 71 procent van de mensen in een huishouden met een laag gestandaardiseerd besteedbaar huishoudensinkomen de tandarts, tegen 88 procent van mensen met een hoog inkomen. Lagere inkomens bezoeken ook minder vaak dan hogere inkomens de mondhygiënist. Bezoek aan de orthodontist verschilt niet voor verschillende inkomens.

Bezoek-tandarts,-mondhygienist-en-orthodontist-naar-inkomen-2

Ook kinderen uit de laagste inkomensgroepen gaan minder vaak naar de tandarts. Dit ondanks het feit dat de meeste tandartskosten voor kinderen tot 18 jaar worden vergoed binnen het basispakket van de zorgverzekering. Daarentegen gaan minderjarigen uit alle inkomensgroepen ongeveer even vaak naar de orthodontist of mondhygiënist. De kosten van deze vormen van mondzorg worden doorgaans niet vergoed door het basispakket van de zorgverzekering. Vanaf de leeftijdsgroep 18 tot 40 jaar gaan mensen met een hoog inkomen vaker naar een mondhygiënist dan mensen met een laag inkomen.

Bron (informatie en grafieken):
CBS

Lees meer over: Markttrends, Mondhygiëne, Thema A-Z
Amerikaans onderzoek: Kinderen gebruiken te veel tandpasta

Amerikaans onderzoek: Kinderen gebruiken te veel tandpasta

Kinderen poetsen hun tanden met zoveel tandpasta dat het ongezond is. Dit blijkt uit onderzoek van het Centers for Disease Control and Prevention in Amerika.

Te veel tandpasta

Bijna 40 procent van de kinderen tussen de 3 en 6 jaar gebruiken meer tandpasta dan wordt aanbevolen door tandartsen. Volgens de Amerikaanse studie zouden kinderen in die leeftijdsgroep hier slechts een beetje van mogen gebruiken.

Zestig procent

De bevindingen zijn gebaseerd op een enquête die werd gehouden onder ouders met kinderen tussen de 3 en 15 jaar oud. Ongeveer 60 procent van deze kinderen en tieners gebruiken een hoeveelheid tandpasta ter grootte van de halve of hele tandenborstel.

Gevolgen

Borstelen met te veel tandpasta kan het glazuur beschadigen. Kinderen slikken dan te veel fluoride in terwijl hun tanden zich nog ontwikkelen. Dat kan tandfluorose, witte vlekken en verkleuren van tanden veroorzaken.

Aanbeveling

De American Academy of Pediatrics beveelt aan dat babytanden worden geborsteld met een uitstrijkje van fluoride tandpasta zodra tanden doorbreken.

 

Bron:
CDC

Lees meer over: Kindertandheelkunde, Thema A-Z
Autotransplantatie: kleine chirurgie met grote resultaten

Autotransplantatie: kleine chirurgie met grote resultaten

Het herstel na tandletsel vraagt veel creativiteit van de tandarts. Dit geldt ook bij de vervanging van aangeboren ontbrekende gebitselementen. Omdat het in beide gevallen vaak om jonge patiënten gaat, is implantologie niet de aangewezen oplossing. Door het lichaamseigen materiaal, en een vitaal parodontaal ligament, bieden autotransplantaten in zulke gevallen veel onverwachte voordelen. Deze zeer succesvolle vervanging ondersteunt bovendien de groei van kaak en gingiva.

Verslag van de lezing van dr. Dick Barendregt, parodontoloog en implantoloog.

Autotransplantatie is misschien wat vergeten, maar zeker niet nieuw. In 1967 schreef Hovinga in Nederland al over autotransplantatie. Tijdens de lezing maakte Dick Barendregt meer dan duidelijk dat autotransplantatie een onmisbare tool is in de toolbox van de tandarts, zeker bij diagnostiek in de praktijk. Keywoorden voor de behandeling zijn:

  • Voorzichtigheid
  • Teamwork
    o Parodontologie
    o Endodontologie
    o Restauratief
    o Orthodontie

Het allerbelangrijkste wat deze behandeling zo succesvol maakt is het parodontaal ligament. Het parodontaal ligament zorgt ervoor dat tanden en kiezen meegroeien.

Inmiddels is er genoeg evidence te krijgen voor de behandelingen, 533 Artikelen beschrijven iets over autotransplantaties. Er zijn alleen geen RCT’s beschikbaar.

Indicaties autotransplantaties

Bij implantaten zie je dat het dento gingivale complex niet mee ontwikkeld met ouder worden. Er ontstaat vaak een step; de elementen op implantaten komen vaak in infrapositie te staan gezien het kaakbot daar niet mee ontwikkeld. Daarom bij een leeftijd onder de 30 jaar moet je na denken of je überhaupt wel implantaten wil zetten. Doordat bij autotransplanteren een parodontaal ligament is, heb je dit probleem hierbij niet. Transplanteren kan op elke leeftijd. Op jonge leeftijd zijn de radices (tandwortels) nog niet afgevormd en is een endodontische behandeling niet nodig. Indien de radices zijn afgevormd moet er voor transplanteren een endodontische behandeling worden gedaan. Dan na 6 weken functioneel belasten om ankylose te voorkomen.

Agenesie

Is er sprake van aangeboren ontbrekende gebitselementen bij een kind? Belangrijk om op tijd te verwijzen! Meestal tussen de 10 en 11 jaar naar de orthodontist.

In Nederland is bij de meeste mensen sprake van een disto-relatie, daarom zie je dat dan vaak premolaren uit de bovenkaak naar de onderkaak worden getransplanteerd. De beste periode is bij een radix afvorming van 2/3 tot ¾ van de totale lengte, blijkt uit onderzoek van Andreasen. Een endodontische behandeling is dan niet nodig, je krijgt obliteratie van de pulpakamer.

Overtollige elementen

Een verstandskies (M3) is vaak een overtollig en ook een a-functioneel element. In het geval dat een eerste molaar (M1) vanwege bijvoorbeeld resorptie of een afwijking geëxtraheerd moet worden, is het gunstig om de M3 naar de plek van de M1 te transplanteren. Hierbij geldt ook de open-apex regel. Een open apex is altijd voordelig omdat er geen endodontische behandeling hoeft te worden gedaan. Voorkeur is tussen de 16-18 jaar: een goede start van de radix 2/3 of de furcatie moet gevormd zijn.

In tegenstelling tot implantologische behandelingen is primaire stabiliteit onbelangrijk bij autotransplantaties. Bot is dus niet erg belangrijk, het parodontaal ligament zorgt voor dit grote voordeel.

Trauma

Door trauma kan het zijn dat er vervangingsresorptie optreedt en een voortand geëxtraheerd moet worden. Soms is er daarbij ook sprake van ankylose: de eigen tand blijft achter en wordt heel lang, dat is esthetisch niet fraai. De voortand kan dan vervangen worden door een premolaar met autotransplantatie. Door deze autotransplantatie techniek kun je gingiva weer op gelijk niveau krijgen.

Ook toonde Dick Barendregt voorbeelden waarbij een volledig verdwenen processus door trauma weer hersteld kan worden door autotransplantatie zonder ingewikkelde chirurgie. De volledig verdwenen processus kan dan weer terug gekregen worden door het getransplanteerde element te extruderen door middel van orthodontie. Door extrusie groeit het bot mee dankzij het parodontaal ligament.

Chirurgie

Belangrijk is dat de chirurgie atraumatisch is, de extractietang mag de glazuurcement grens niet beschadigen. Daarna wordt het donorelement opgemeten en weer voorzichtig teruggezet in de extractie-alveole. Dan kan gestart worden met de voorbereidingen van de donorlocatie. In het geval dat een premolaar naar de plek van een incisief wordt getransplanteerd is de premolaar in bucco-palatinale positie breder. Een incisief is gemiddeld 7mm en een premolaar gemiddeld 10mm. Vaak moet de buccale lamel weg anders past premolaar niet. Maar dankzij het parodontaal ligament is het adaptieve vermogen zo groot, dat dit zelden tot problemen leidt. Het getransplanteerde element wordt gefixeerd met een zogenoemde ‘Cortellini’ hechting en platte matras lus eroverheen.

Na een periode 6 weken kan de buccale knobbel van de premolaar worden uitgebouwd tot incisief. De opbouw moet staan in richting van de as element radix. Daarna start de orthodontische behandeling.

Chirurgische planning

In sommige gevallen wordt gebruik gemaakt van een 3D behandelplanning met cone beam. Daarbij wordt de een afdruk gecombineerd met de beelden van de cone beam opname.

Met het transplanteren wil je het PDL niet beschadigen, daarom wordt er vaak een fractie groter geprepareerd. Door een ‘paselement’ te gebruiken van pmma kan de preparatie nauwkeurig gedaan worden zonder het PDL te beschadigen.
Na chirurgie is de zachtweefsel sluiting belangrijk. Na 3 en 6 weken vindt een controle plaats, gecombineerd met een mondhygiëne check en gebitsreiniging.

Uit meerdere onderzoeken en ook de praktijkresultaten uit Rotterdam blijkt autotransplantatie een zeer succesvolle en voorspelbare behandeling te zijn met een slagingspercentage van ongeveer 93%. Als er failures zijn, ontstaan deze vaak in het begin, belangrijk is de belasting van het element na 6 weken. Geconcludeerd kan worden dat autotransplantatie van een tand op elke leeftijd een behandeloptie is en soms nog een betere behandeloptie dan een implantaat.

Dr. Dick Barendregt is parodontoloog (NVvP) en implantoloog (NVOI). Studeerde in 1988 af als tandarts aan de Rijksuniversiteit van Groningen. In 1991 startte hij een post-academische opleiding parodontologie aan ACTA. Deze opleiding rondde hij in 1994 af. In 1996 werd door hem de Kliniek voor Parodontologie Rotterdam opgericht. Daar houdt hij zich naast de parodontologie bezig met de implantologie. De laatste 18 jaar is in dat kader de nadruk komen te liggen op patiëntenbehandeling in een interdisciplinair teamverband (Proclin Rotterdam) met collega- tandartsen zoals orthodontisten, endodontologen, restauratieve tandartsen, kaakchirurgen en tandtechnici. In 2009 promoveerde op zijn proefschrift “Probing around teeth” aan de Universiteit van Amsterdam. Hij is betrokken bij verschillende postacademische cursussen in binnen- en buitenland.

Verslag voor dental INFO door Joanne de Roos, tandarts, van de lezing van dr. Dick Barendregt tijdens het congres Chirurgie van Bureau Kalker

Lees meer over: Chirurgie, Congresverslagen, Kennis, Thema A-Z
Op zoek naar je droombaan in de mondzorg

Op zoek naar je droombaan in de mondzorg

Een droombaan is natuurlijk iets wat iedereen wil, ook studenten Mondzorgkunde. Maar hoe vind je die droombaan? dental INFO vroeg het aan docenten Mondzorgkunde Suzanne Janssen en Barrie Dallinga en recruiter Solange de Groot.

Van mondhygiënist naar docent

Suzanne heeft in 2010 de opleiding Mondzorgkunde afgerond aan Hogeschool Utrecht (HU). Hierna is ze als mondhygiënist aan de slag gegaan in een algemene tandartspraktijk. “Gaandeweg kwam ik erachter dat ik meerdere interesses had en daarom schreef ik me in 2012 in voor de master docent HGZO. Vanaf toen ben ik ook in dienst gekomen bij de HU als docent en combineerde ik deze baan met de master en mijn baan als mondhygiënist. Dit was een erg drukke periode, maar in 2014 heb ik de master succesvol afgerond. Sinds augustus 2018 werk ik alleen bij de HU als hogeschooldocent en stagecoördinator. Een erg leuke en uitdagende baan!”

Barrie heeft in 1977 de opleiding tot mondhygiënist afgerond. Aansluitend deed ze de opleiding tot directiesecretaresse. “Om mijn net verworven vaardigheden als mondhygiënist niet te verleren werkte ik ook in een praktijk waar vooral kinderen en angstige volwassenen behandeld werden. Daarna heb ik jarenlang gelijktijdig banen als mondhygiënist en als secretaresse gehad. In de periode 1984 – 1990 heb ik in het bestuur van NVM gezeten en vervolgens het bureau van de NVM opgestart. Na 9 jaar bureauwerk bij de NVM had ik zin in iets anders en ben ik met de docentenopleiding gestart. Hiervoor liep ik ook stage bij de HU en kreeg daar vervolgens een aanstelling. Sinds 1989 ben ik ook werkzaam in een vrijgevestigde praktijk.”

Hoe kwamen jullie er achter wat jullie droombaan was? 

Suzanne: “Tja, hoe kom je hierachter? Ik denk dat er nooit één droombaan bestaat, omdat ieder individu meerdere interesses heeft. Volg je interesses en blijf uitdagingen opzoeken, wanneer je dat hebt gevonden in je baan dan heb je denk ik je droombaan gevonden.” Barrie: “Alle banen die ik heb gehad vond ik droombanen, maar na verloop van tijd had ik toch behoefte aan een nieuwe uitdaging. Het leuke van werken bij de HU is dat je steeds weer andere taken kunt uitvoeren. De combinatie van lesgeven met zelf behandelen vind ik ideaal.”

Wat heb je ervoor moeten doen om deze baan te krijgen?

Suzanne: “Zoals aangegeven heb ik een masteropleiding gevolgd en ben ik daardoor in mijn huidige baan ‘gerold’. Ik was op zoek naar een stageplaats en dus benaderde ik de HU. Ik mocht stage komen lopen, maar zij nodigden me eigenlijk direct uit om te solliciteren. Je takenpakket als docent verschilt per persoon en wordt op basis van je interesses samengesteld.” Barrie: “Ik heb steeds nieuwe uitdagingen moeten zoeken.”

Raad je mondhygiënisten aan om goed rond te kijken in het werkveld alvorens je ergens echt te gaan ‘nestelen’?

Barrie: “Het is zeker belangrijk om goed rond te kijken om te leren welk werkveld het beste bij je past. Als ik naar mezelf kijk dan vind ik het ook nuttig om na verloop van tijd in een ander werkveld te kijken, dan blijft het beroep ook uitdagend. Gelukkig is het vaak ook mogelijk om de verschillende werkvelden te combineren, dat zorgt er volgens mij ook voor dat je werk niet eentonig wordt.”

Suzanne: “Eens. Ik raad studenten aan om tijdens de verschillende stages al goed rond te kijken in het werkveld en te bedenken wat zij prettig en leuk vinden en wat niet. Wanneer studenten afgestudeerd zijn, raad ik ze aan om eerst een dag mee te lopen in een praktijk en dan pas ‘ja’ te zeggen tegen de geboden baan. Waarom? Ik denk dat het belangrijk is dat je je prettig voelt in een team en dat je je kunt vinden in de manier waarop er praktijk wordt gevoerd. Op deze manier kun je eerst aftasten en dan beslissen.”

Hoe helpt de studie bij het vinden van de ambitie van de student?

Barrie: “Er zijn verschillende soorten stages en ook projecten zodat studenten kunnen kijken waar hun ambities liggen. Ook in het laatste jaar, als studenten hun afstudeeropdracht moeten uitvoeren en een minor moeten volgen, zijn er verschillende mogelijkheden om achter hun eigen ambitie te komen of te zien wat ze echt niet willen.” Suzanne: “Inderdaad. Het begint direct al in het eerste studiejaar tijdens het onderwijs ‘loopbaanleren’. In jaar 1 gaan de studenten al nadenken over zichzelf door uit te zoeken waar ze goed in zijn en waar ze heen willen de komende vier jaar. Ook wordt er aandacht besteed aan omgaan met tegenslag, het waarmaken van ambities en het leren kiezen. We willen de studenten stimuleren om een leven lang te blijven leren. De verschillende stages helpen de student dus ook bij het vinden van hun ambitie. Ik denk dat vooral tijdens de werkveldstage en de afstudeerstage studenten op zoek gaan naar hun ambitie. Ook is er een ouderenproject en een kinderproject waar de studenten kennis maken met de verschillende doelgroepen. Daarin zie je soms heel mooi naar voren komen dat een student bijvoorbeeld een ambitie heeft gekregen om met ouderen te werken. Als laatste volgen de studenten in jaar 4 een minor naar keuze waarbij ze kunnen kijken wat hun ambitie is.“

Kunnen jullie wat vertellen over de richtingen waarin de student zich kan ‘specialiseren’?

Suzanne: “Tijdens de werkveldstage kiest de student ervoor om stage te lopen in een werkveld naar keuze. Studenten kunnen zich hier bijvoorbeeld specialiseren door stage te gaan lopen in een parodontologiepraktijk of een kinderpraktijk. Ook kunnen studenten kleur geven aan een bepaalde richting door de onderwerpen die zij kiezen voor projecten, onderzoeken of minor. Soms zie je bijvoorbeeld dat een student affiniteit heeft met het behandelen van kinderen. Zij kiezen dan bijvoorbeeld een kinderpraktijk als stageplek voor de werkveldstage en doen hun afstudeeronderzoek ook over het behandelen van kinderen. Tijdens de afstudeerstage kiezen ze er dan vaak bewust voor om kinderen te behandelen en onderzoeken, zodat deze gegevens gebruikt kunnen worden in hun afstudeeronderzoek. Dit levert mooie resultaten op voor de student, de stageplaats en de opleiding. Deze combinatie vind ik erg leuk om te zien!” Barrie: “Onze studenten worden vooral breed opgeleid. In het derde studiejaar kiezen de studenten een werkveldstage, maar de studenten hebben dan al 1,5 jaar stage gelopen in een algemene tandartspraktijk.”

Wat merken jullie onder studenten: welke richting willen zij op en lukt het om hun droombaan te krijgen?

Suzanne: “Er is genoeg werkgelegenheid voor onze studenten, want zoals we weten is er veel vraag naar mondhygiënisten. Wat ik vaak hoor is dat studenten graag een duobaan willen, bijvoorbeeld werken in een parodontologiepraktijk en in een algemene tandartspraktijk. Hierdoor denken ze een leuke afwisseling te vinden in het werk als mondhygiënist.”

Welke klachten hoor je vaak van alumni over hun werksituatie? Wat kunnen zij daar zelf aan doen?

Suzanne: “Recent afgestudeerden kunnen vaak direct aan de slag als mondhygiënist, maar niet altijd kunnen zij het volledige takenpakket van de mondhygiënist uitvoeren. Een veelvoorkomend probleem is het feit dat de mondhygiënist alleen “paro-behandelingen” uitvoert en weinig tot geen cariësbehandelingen. Ik denk dat recentafgestudeerden voor hun eigen kwaliteit moeten staan en in overleg met de tandarts moeten kijken waar begonnen kan worden met cariësbehandelingen. Zo kan er bijvoorbeeld begonnen worden door periodieke mondcontroles uit te laten voeren door de mondhygiënist.” Barrie: “Klopt, onze studenten weten goed wat ze wel en niet willen en een baan vinden is geen probleem. Wel geldt dat als ze het beroep in de volle breedte willen uitoefenen ze er veel moeite voor moeten doen om dat ook geregeld te krijgen.”

Moet er dan in het werkveld bij de werkgevers / opdrachtgevers een andere mindset komen om het recent-afgestudeerden naar de zin te maken?

Barrie: “Ik denk dat er nog wel winst te halen is in echt teamwerk en iedereen die werkzaam is in de mondzorg op de meest effectieve manier in te zetten. Dat vraagt van alle partijen veel overleg. Ik heb het idee dat de tijd die hiermee gemoeid gaat vaak een struikelblok vormt.” Suzanne: “Ja, ik denk zeker dat de mindset in het werkveld anders zou kunnen. Ik pleit er ook vooral voor dat er een goede samenwerking moet zijn tussen alle behandelaars. De samenwerking tussen de tandarts en mondhygiënist is belangrijk, maar ook de samenwerking tussen de mondhygiënist en de (paro)preventieassistent is van groot belang. Daarnaast is een goede samenwerking met de tandprotheticus van belang, maar ook de samenwerking met bijvoorbeeld de fysiotherapeut, diëtist en logopedist. In de algemene tandartspraktijk waar ik werkzaam was, is deze samenwerking en communicatie goed en dit heb ik als zeer prettig ervaren. Wanneer we allemaal samenwerken hebben we er allemaal baat bij; zowel de behandelaars als de patiënt. Het belangrijkste is dat de patiënt de beste zorg krijgt en dit kan naar mijn idee alleen als alle behandelaars goed met elkaar samenwerken en overleggen.”

Hoe kom je erachter of je wel past bij de praktijk en de praktijk wel bij jou past?

Suzanne: “Ik denk dat het belangrijk is dat je je prettig voelt in een team en dat je je kunt vinden in de manier waarop er praktijk wordt gevoerd. Wanneer je eerst een dag (of meerdere dagen) meeloopt in een praktijk kom je hierachter.” Barrie: “Door echt goed vragen te stellen tijdens een sollicitatiegesprek, een dagje mee te lopen en door te informeren bij collega’s.”

Wat wil je zelf nog kwijt?

Barrie: “Het lijkt misschien alsof de opleiding alleen uit stages bestaat, maar dat is beslist niet zo. De basis wordt aangeleerd in de interne kliniek. De onderdelen theorie en evicence based werken komen in de opleiding ruimschoots aan de orde.” Suzanne doet een oproep: “Ik wil collegamondhygiënisten en tandartsen aanmoedigen om zich beschikbaar te stellen als stagebegeleider/stageplek voor onze toekomstige collega’s. De stage is voor onze studenten een essentieel onderdeel van de opleiding, want juist hier kunnen studenten veel leren van hun toekomstige collega’s. Mocht u informatie willen over onze stages, dan kunt u per e-mail contact opnemen: suzanne.janssen@hu.nl.
Ook staan wij als opleiding open voor samenwerking op een ander vlak, zoals bijvoorbeeld het uitvoeren van onderzoek in de praktijk, het meedenken met een opdracht of een andere bijdrage vanuit de opleiding. Volg onze ontwikkelingen ook via onze LinkedIn pagina.

Door: Lieneke Steverink-Jorna, mondhygiënist

Lees meer over: Carrière, Thema A-Z
Fluoride, hoe hoger hoe beter?

Fluoride, hoe hoger hoe beter?

Als beroepsgroep moeten we steeds beter antwoord kunnen geven op het belang van fluoride. Er zijn mensen die sceptisch zijn over fluoride en het aanduiden als ‘giftig’. En er zijn mensen die zich zorgen maken over de mogelijke schade bij overmatige inname. Verslag van de lezingen over fluoride tijdens het Ivoren Kruis congres.

We weten al meer dan 100 jaar dat fluoride een positief effect heeft op de cariësactiviteit. Ook recent onderzoek geeft ons opnieuw het inzicht dat naast waterfluoridering (hetgeen in Nederland niet aan de orde is), tandpasta’s, gels en lakken ook positief effect hebben.

Deze onderzoeken zijn op de website van Cochrane te raadplegen, de plek waar alle systematische reviews gepubliceerd zijn. Alleen deze database is niet de eerste website die ouders vinden als zij Googlen nadat zij via via hebben gehoord dat fluoride in tandpasta vergif zou zijn. Bij googelen op ‘fluoride’ krijgen ze binnen een halve seconde meer dan 2 miljoen hits. Daarbij zitten de meest verschrikkelijke artikelen waarin gezegd wordt dat je IQ met 7 punten daalt bij gebruik van fluoride. Dit zijn slecht uitgevoerde onderzoeken en de artikelen spelen enorm op de emotie. Het heeft er voor gezorgd dat er een hele nieuwe, en groeiende markt is ontstaan met fluoridevrije tandpasta. Vervolgens worden deze via slimme marketing trucjes aan de man gebracht. Tijd dat we als professionals meer duidelijkheid geven hoe het precies zit. Zeker nu er recent een tandpasta op de markt is gekomen met een nog hoger fluoridegehalte.

Verslag van de inleiding van Erik Vermaire, tandarts-onderzoeker bij TNO Child Health, tandarts-angstbegeleiding op de afdeling Bijzondere Tandheelkunde van de Noordwest Ziekenhuisgroep in Alkmaar en onderzoeker aan het Centrum voor Tandheelkunde en Mondzorgkunde van het UMCG in Groningen.

Hoe gaat glazuur in oplossing?

Glazuur lost op en slaat neer van het zout hydroxy-apatiet. Als je zout in water plaatst, dan gaat dat voor een deel in oplossing totdat de oplossing verzadigd is. De mate van oplosbaarheid van een vaste stof is een eigenschap van die stof. In een verzadigde oplossing zit een bepaald aantal ionen. Het ionactiviteitsproduct geeft het aantal ionen in de oplossing weer. Op het moment dat de oplossing verzadigd is, dan heeft het ionactiviteitsproduct een bepaald niveau en dat heet het oplosbaarheidsproduct. Als de oplossing verzadigd is, maar er nog een aantal onoplosbare ionen aanwezig zijn, dan is er een neiging tot neerslaan van die vaste stof. Het is niet altijd zo dat er daadwerkelijk neerslag ontstaat.

Speeksel is oververzadigd ten opzichte van hydroxyapatiet, maar bepaalde proteïne zorgen dat het niet neerslaat. Zo kan speeksel dus stabiel zijn. Proteïne kan dus er ook voor zorgen dat demineralisatie niet (voldoende) plaatsvindt. Ondanks dat proteïne roet in het eten gooit in de strijdt tegen cariës, zou het onwenselijk zijn als er steeds hydroxyapatiet zou neerslaan. Dat zou betekenen dat de tand continue zou aangroeien.

Op het moment dat er een zure omgeving ontstaat, gaat er meer in oplossing. De protonen vanuit het zuur vangen de hydroxyl weg: de OH en de H2 worden H2O. Door het zuur ontstaat er meer oplosmiddel. Het ionactiviteitsproduct verandert en zo gaat er meer in oplossing. Er ontstaat demineralisatie. De oplosbaarheid van glazuur is zo dus afhankelijk van de hoogte van de pH. Er is veel remineralisatietijd nodig om demineralisatie tegen te gaan. Als demineralisatie de overhand heeft, ontstaat er cariës.

Fluoride maakt tandmateriaal minder oplosbaar

Tijdens het poetsen ontstaat fluorapatiet. Daarbij is het hydroxy- ion vervangen door een fluoride- ion. Dit is een stabieler kristal en dat betekent dat het minder oplosbaar is. Dus bij een lagere pH dan bij hydroxyapatiet gaat fluorapatiet in oplossing. Fluoride vertraagt het proces van demineralisatie. Tanden worden dus niet sterker van fluoride, maar minder oplosbaar. Maar stel, je tanden zouden helemaal van fluorapatiet bestaan, dan nog kan er cariës ontstaan.

Vanaf welke plek werkt fluoride?

Fluoride moet daar zijn waar de demineralisatie gebeurt. En dan is een heel klein beetje ter plaatse al genoeg. Al vanaf 0,01 ppm is het al serieus remmend op het demineralisatieproces. Een paar uur na het poetsen is er iets minder dan 1 ppm aanwezig in de mond. Misschien ook door ingeslikt fluoride wat door speekselsecretie weer ter plaatse komt. Hoeveel er achter blijft (achtergrondconcentratie), hangt af van de concentratie van bijvoorbeeld tandpasta. Bij concentratie hoger dan 1500 ppm ziet men nog minder cariësincidentie. Dit is niet te manipuleren door de hoeveelheid van de tandpasta op de borstel zelf te verdubbelen.

Wat is het effect van 5000 ppm fluoride?

Op het moment van hoog cariës risico wordt er vaak meer fluoride ingezet. Bijvoorbeeld door vaker fluoride op een dag te gebruiken. Liever niet door nog vaker poetsen, want dit zou de gingiva kunnen schaden, maar door middel van een fluoride spoelmiddel. Fluoridekappen waarin gel kan, worden vaak ingezet tijdens chemo. Ook kennen we de vernissen, lakken en gels die we in de praktijk gebruiken.

Met de bijzondere zelfzorgproducten gaan we aardig in de richting van de professionele producten. Nu komt er de nieuwe tandpasta met 5000 ppm fluoride op de markt. Deze ligt qua hoogte in dezelfde regio als de gel die we bij hoog-risico patiënten gebruiken, maar worden wel vaker gebruikt. Waarschijnlijk wordt de achtergrondconcentratie door deze tandpasta sterk verhoogd. Dit is belangrijk, in de optiek van de spreker, omdat dentine gevoeliger is voor cariës.

Wortelcariës

Ouderen hebben vaak wortelcariës. Om deze cariës te stoppen, is er meer fluoride nodig. Mensen die al 20 tot 30 jaar cariësvrij zijn, kunnen met het terug trekken van de gingiva ineens weer cariës krijgen. Wat is er bekend over het effect van deze tandpasta met 5000 ppm? Er is al een systematische review gedaan van verschillende manieren om preventie in te zetten bij wortelcariës. Hierbij is de conclusie dat de 5000 ppm effectiever is dan de conventionele tandpasta. Dat is voornamelijk bij ouderen onderzocht. Zo werd bij ouderen in een verzorgingstehuis 1 actieve laesie gevonden bij gebruikers van 5000 ppm fluoride tandpasta tegen 2,5 actieve laesies bij gebruikers van conventionele tandpasta.

Bij thuiswonende ouderen werd duidelijk dat zelf poetsen met deze tandpasta even effectief was als maandelijkse gebitsreiniging door de mondhygiënist in combinatie met Duraphat applicatie. Het moge duidelijk zijn wat de kosteneffectiviteit is. Bovendien kunnen ze met ‘gewoon poetsen’ zich niet-patiënt voelen, maar een normaal mens.

Volgens spreker Marie-Charlotte Huysmans is de 5000 ppm fluoridetandpasta een welkome aanvulling op het arsenaal wat we al hadden.

Verslag van de lezing van Marie-Charlotte Huysmans, hoogleraar Cariologie en Endodontologie bij de Faculteit der Medische Wetenschappen van de Radboud Universiteit.

Is fluoride veilig?

4 mg/kg fluoride is een veilige dosering voor ratten, muizen, konijnen en honden blijkt uit dierproeven. Maar wat is een veilige concentratie voor mensen? Er zijn geen gegevens over blootstelling (concentratie in het bloed). Als men extrapoleert van rat naar mens komt men uit op een veilige dosering fluoride van 0,8 mg/kg of 40 mg/dag voor een persoon van 50 kilo.

Vergelijk 40 mg met inname van fluoride via tandpasta. Dan zou 2 cm tandpasta, 3 keer daags met 40% doorslikken of absorptie en met 5000 ppm neerkomen op 5 mg fluoride/dag. Dit is veilig voor volwassenen. Gebruik bij kinderen is af te raden. Zij kunnen veilig met conventionele tandpasta poetsen.

Verslag van de lezing van dr.ir. Connie Brouwer, zij sprak namens het College ter Beoordeling van Geneesmiddelen.

Verslag door Lieneke Steverink-Jorna, mondhygiënist van de lezingen van het Ivoren Kruis congres Hoe hoger, hoe beter?

Lees meer over: Cariës, Congresverslagen, Kennis, Ouderentandheelkunde, Thema A-Z
Gebitsproblemen aan top van wereldwijde gezondheidsproblemen mannen en vrouwen

Gebitsproblemen aan top van wereldwijde gezondheidsproblemen mannen en vrouwen

Uit een nieuw rapport is gebleken dat gebitsproblemen een van de grootste oorzaken van niet-fataal gezondheidsverlies bij zowel mannen als vrouwen zijn. In 2017 werden er bijna 3,5 miljard meldingen van gebitsproblemen gemaakt, variërend van cariës tot parodontitis tot tandverlies. Na aandoeningen in de mond kwamen hoofdpijnproblemen en tuberculose het vaakst voor.

Global Burden of Diseases, Injuries, and Risk Factors Study 1990 – 2017

In de Global Burden of Diseases, Injuries, and Risk Factors Study 2017 (GBD 2017) werd gekeken naar 354 verschillende problemen in 195 verschillende landen en gebieden naar incidentie, prevalentie en naar hoelang mensen ergens last van hadden, voor de periode tussen 1990 en 2017. Dit werd gedaan door een analyse van bijna 70.000 verschillende databronnen, variërend van literatuurstudies tot verzekeringsclaims en patiëntgegevens.

Niet-fatale oorzaken gezondheidsverlies

Twee van de drie meest voorkomende niet-fatale oorzaken van gezondheidsverlies zijn hetzelfde voor mannen en vrouwen. Voor vrouwen zijn de meest prevalente oorzaken gebitsproblemen, hoofdpijnproblemen en hemoglobinopathieën en hemolytische anemieën. Voor mannen bleken dit ook gebitsproblemen en hoofdpijnproblemen, met tuberculose op een derde plek.

Zichtbare verbetering in gebitsproblemen

Op parodontitis na bleken alle overige gebitsproblemen in 2017 te zijn verbeterd ten opzichte van 1990. De volgende tabel laat dit zien:

Gebitsproblemen aan top van wereldwijde gezondheidsproblemen mannen en vrouwen

Verschil in data per oorzaak

De auteurs van de studie gaven zelf aan dat met een onderzoek van deze grote hoeveelheid aan data een aantal limitaties komen kijken. Zo zijn onder andere een aantal van de oorzaken sterk gebaseerd op klinische data, bij gebrek aan overige bronnen, waar dit voor andere oorzaken niet per se het geval is. Hierdoor kan een selectiebias ontstaan. De onderzoekers hebben geprobeerd dit te compenseren door representatieve studies als een referentiegroep te gebruiken.

Gezondheidsongelijkheid

Ook merkten de auteurs op dat de grote verschillen in toegang tot zorgen, economische ongelijkheid en het gebrek aan een balans in risicofactoren het gezondheidssystemen erg lastig maken om iedereen in gelijke zorg te kunnen voorzien. Door het gebrek aan (bronnen voor) goede gezondheidssystemen is het erg lastig om dit gebrek aan gezondheidsgelijkheid te overkomen.

Bron:
Healthdata.org

Lees meer over: Medisch | Tandheelkundig, Thema A-Z
CBCT beelden bieden meeste nauwkeurigheid

CBCT beelden bieden meeste nauwkeurigheid

Onderzoekers hebben bestudeerd of een panoramisch radiografisch beeld voldoende is voor een accurate diagnose, of dat hier een cone-beam CT (CBCT) beeld voor nodig is. Ook werden er andere aspecten bestudeerd om een beter beeld te krijgen van de nauwkeurigheid van diagnostische beelden.

CBCT beelden in tandheelkunde

Desondanks het feit dat er relatief veel onderzoek is naar de nauwkeurigheid van CBCT beelden is er weinig informatie over hoe deze beelden worden gebruikt door tandartsen. Josipa Radic en haar team van de University of Zurich Centre of Dental Medicine in Zwitserland besloten hier daarom onderzoek naar de doen, door de nauwkeurigheid can CBCT beelden te vergelijken met panoramische radiografische beelden en 3D geprinte modellen.

Tandartsen in opleiding

Om dit te doen verzamelden de onderzoekers 14 tandartsen in opleiding om negen geselecteerde zaken met verschillende pathologieën te evalueren. De helft van de toekomstige tandartsen specialiseerden zich in kaakchirurgie, de andere helft in orthodontie. Acht van hen waren vrouwen. De zaken die werden bestudeerd bevatten onder andere tandresorptie en tegengehouden tanden.

Panoramische, CBCT en 3D beelden

De panoramische radiografische beelden werden zowel intern (Cranex D, Soredex) als extern (geen fabrikant bekend) genomen. De CBCT beelden werden gemaakt met een 3D Accuitomo 170 systeem (J. Morita). De 3D modellen werden geprint met een Objet Eden 260V printer (Stratasys).

Elk van de 14 toekomstige tandartsen begon met het evalueren van de panoramische radiografische beelden. Vervolgens werd hen gevraagd of ze nog een CBCT scan wilden bekijken om een nauwkeurigere diagnose te kunnen geven. 81 procent van hen zei hier ja op. De orthodontisten in opleiden vonden de panoramische beelden vaker voldoende dan de kaakchirurgen. Hiernaast vroegen met name de tandartsen met minder dan vier jaar ervaring om de CBCT scan.

Nauwkeurigheid per beeld

Het bleek wel overduidelijk dat de CBCT beelden het meest nauwkeurig zijn. De 3D modellen bleken minder nauwkeurig dan de CBCT, maar meer nauwkeurig dan de panoramische beelden. De resultaten zijn te zien in deze tabel:

CBCT beelden bieden meeste nauwkeurigheid

Binnen dit onderzoek is het wel belangrijk om te beseffen dat slechts een aantal medische condities zijn onderzocht onder tandartsen in opleiding bij één universiteit. Hiernaast was het vragen om de CBCT scan een hypothetische situatie, en kwamen hier dus bijvoorbeeld geen kosten of blootstelling aan bestraling bij te pas.

Desondanks kan op basis van deze studie worden geconcludeerd dat CBCT scans een belangrijke bijdrage kunnen leveren aan tandheelkundige diagnoses, aangezien deze beelden de meeste nauwkeurigheid geven.

Bron:
International Journal of Implant Dentistry

Lees meer over: Röntgen | Digitale tandheelkunde, Thema A-Z
Relatie aangetoond tussen chronische parodontitis en ziekte van Alzheimer

Relatie aangetoond tussen chronische parodontitis en ziekte van Alzheimer

Wetenschappers in de Verenigde Staten hebben een relatie aangetoond tussen tandvleesaandoeningen en neurodegeneratieve ziekten, waaronder de ziekte van Alzheimer. Onderzoek bij muizen wees uit dat er een verband is tussen chronische tandvleesontsteking en hersenontsteking en neurodegeneratie.

Onderzoek

Onderzoekers van University of Illinois in Chicago wilden achterhalen waarom de ziekteverwekker Porphyromonas gingivalis voorkomt in de hersens van mensen en muizen met alzheimer. Voor het onderzoek werden twintig muizen gebruikt. De ene helft van de muizen kreeg drie dagen per week een oplossing met Porphyromonas gingivalis toegediend, terwijl de andere helft een zoutoplossing kreeg. Na 22 weken werden de hersens van de muizen verwijderd voor onderzoek.

Resultaten

De hersens van de muizen die de zoutoplossing hadden gekregen leken normaal. De hersens van de andere muizen vertoonden echter tekenen van degeneratie, ontsteking en plaques, die kenmerkend zijn voor alzheimer bij mensen.

Dat de muizen die de ziekteverwekker kregen toegediend zulke duidelijke verschijnselen vertoonden, zou komen doordat ze er chronisch aan werden blootgesteld. Parodontitis is een chronische aandoening en de ontwikkeling duurt een lange tijd. Onderzoekleider Keiko Watanabe had niet verwacht zulke grote veranderingen in de hersens te vinden. Ook de ontdekking van amyloïde plaques was een verrassing, omdat men dacht dat deze muizen die niet konden ontwikkelen.

Vervolgonderzoek

De resultaten van het onderzoek wijzen er op dat een chronische infectie door P. gingivalis een rol kan spelen bij de ontwikkeling van neurodegeneratieve ziekten zoals alzheimer. Deze uitkomsten zijn opmerkelijk, maar aan het experiment namen slechts twintig mannelijke muizen deel. Daarnaast zijn de resultaten misschien niet direct van toepassing op mensen. Inmiddels is er een vervolgonderzoek gestart. Hierbij wordt gekeken of de waarnemingen direct het gevolg zijn van de parodontale ziekteverwekker of door andere factoren die veroorzaakt zijn door de toediening van de ziekteverwekker.

Bron:
Plos One

Lees meer over: Parodontologie, Thema A-Z

Netflix verwijdert documentaire Root Cause na kritiek mondzorg

Netflix heeft de omstreden documentaire Root Cause verwijderd. De documentaire stelt dat een wortelkanaalbehandeling onder andere kanker kan veroorzaken.

De documentaire betreft de 10-jarige zoektocht van Frazer Bailey naar de aanleiding van zijn aanhoudende ziekten. In de documentaire komt Bailey tot de conclusie dat dit alles het gevolg is van een wortelkanaalbehandeling die hij op jonge leeftijd onderging. Bailey kampte met ziekten als kanker, hartkwalen, depressie, en meer. Aangemoedigd door ‘holistische tandartsen’, trok hij zijn conclusie.

Er was veel kritiek vanuit de mondzorg op de documentaire. De American Dental Association, American Association of Dental Research en American Association of Endodontists stuurden Netflix een brief over de gevolgen van de documentaire en verzochten om verwijdering. De KNMT schaarde zich achter de initiatieven van de Amerikaanse collega’s. Ook de ANT vond de documentaire zorgelijk en uitte zijn zorgen middels een brief aan Netflix.

Netflix heeft nog niet gereageerd in de media op het verwijderen van Root Cause.

Lees meer over: Opmerkelijk, Thema A-Z
Britse enquête toont aan dat 43% van de respondenten hun tanden willen verfraaien

Britse enquête toont aan dat 43% van de respondenten hun tanden willen verfraaien

De Verenigde Staten waren altijd de bakermat van esthetische behandelingen, maar nu lijkt het erop dat het Verenigd Koninkrijk hen gaat overtreffen. Uit een survey-onderzoek van RealSelf, een website voor het reserveren van artsen, blijkt dat de vraag in het Verenigd Koninkrijk hard stijgt.

Britten overstijgen Amerikanen

Meer dan 1000 inwoners boven de 18 jaar oud binnen het Verenigd Koninkrijk werden voor dit onderzoek ondervraagd. Hieruit bleek dat 76% van de mensen iets aan hun gezicht of lichaam wil veranderen. In de Verenigde Staten staat dit getal op 80%, maar hier overwegen minder mensen daadwerkelijk actie te ondernemen.

Actie ondernemen

Uit het onderzoek bleek namelijk dat 40% van de Britten een chirurgische of niet-chirurgische behandeling overweegt binnen de komende 12 maanden. Dit geldt slechts voor 37% van de Amerikanen.

Jongvolwassenen grootste groep

De 18-34 jarigen zijn hier de grootste groep. Ruim 62% van hen denkt na over een niet-chirurgische behandeling binnen de komende 12 maanden, in vergelijking met 28% van de 35+ leeftijdsgroep.

Cosmetische tandheelkunde op één

De meest gewenste verbetering was geen botox of vulstoffen, maar cosmetische tandheelkunde. Ongeveer 43% van de Britse respondenten wil hun tanden verfraaien met bleken, veneers of orthodontie. In de Verenigde Staten heeft slechts 36% belangstelling voor esthetische tandheelkunde.

Zelfvertrouwen opbouwen

In beide landen gaf 43% van de respondenten als motivatie voor dit soort ingrepen het verbeteren van hun zelfvertrouwen aan. Belangrijke gebeurtenissen of mijlpalen, zoals verjaardagen of bruiloften, werden ook genoemd als redenen.

 

Bron: dentistry.co.uk

Lees meer over: Cosmetische tandheelkunde, Thema A-Z

Hart- en mondgezondheidsprofessionals bundelen krachten voor advies

Experts op het gebied van hart- en mondgezondheid zullen gezamenlijke aanbevelingen geven voor medische professionals en patiënten. Dit advies werd tijdens de Perio & Cardio Workshop op 18 en 19 februari 2019 gepresenteerd door de European Federation of Periodontology (EFP) en de World Heart Federation (WHF). Aangezien de mensen met ernstige parodontitis meer risico lopen op het krijgen van een hartaanval of beroerte is dit van groot belang.

Impact hart- en vaatziekten en parodontitis

Wereldwijd zijn hart- en vaatziekten de nummer één oorzaak van overlijden. Tegelijkertijd staat ernstige parodontitis op nummer zes in de lijst van chronische aandoeningen. Professor Mariano Sanz, EFP voorzitter van de workshop: “Beide aandoeningen raken vele mensen, verspreid over de hele wereld. Tijdens dit evenement hopen wij uit te lichten hoe parodontale gezondheid kan helpen met het verminderen van risico op hart- en vaatziekten.”

Hoger risico op hartaanval

Vele studies hebben de relatie tussen parodontitis en hart- en vaatziekten onderzocht, en bewezen. Parodontitis patiënten lopen meer risico op een hartaanval of beroerte. Dit is met name het geval op het moment dat deze patiënten eerder hartproblemen hebben ervaren. Bacteriën in de mond ontwikkelen atherosclerotische tandplak, waarnaast parodontitis ook zorgt voor ontstekingen verspreid over het hele lichaam, die de ernst van de plak ook weer verhogen.

Perio & Cardio Workshop 2019

Tijdens de workshop werden met name de volgende vier onderwerpen besproken:

  • Het bewijs van de link tussen parodontitis en hart- en vaatziekten;
  • Biologische mechanismes voor het verhoogde risico van atherosclerose bij patiënten met parodontitis;
  • Het effect van parodontale behandelingen op het risico van atherosclerose;
  • De potentiële risico’s voor hart- en vaatziekten van orale interventies.

De conclusies van de workshop zal ook door de EFP en WHF worden gepubliceerd in een artikel in het Journal of Clinical Periodontology. Hiernaast zullen aanbevelingen worden ontwikkeld voor mondzorgprofessionals, cardiologen, apothekers, onderzoekers, media, patiënten en het bredere publiek.

Bron:
EFP

Lees meer over: Medisch | Tandheelkundig, Parodontologie, Thema A-Z
Henry Schein voltooit spin-ff van bedrijfsonderdeel Animal Health: Focus op dentale en medische markt

Henry Schein voltooit spin-off van bedrijfsonderdeel Animal Health: Focus op dentale en medische markt

Henry Schein, Inc. kondigde aan dat de spin-off van het bedrijfsonderdeel diergezondheid is voltooid, waarbij de onderneming de nadruk wil leggen op het stimuleren van de groei in de bestaande dentale en medische markten en op het realiseren van nieuwe investeringskansen.

Henry Schein ontving in het kader van de spin-off ca. $ 1,1 miljard, naar verwachting in de vorm van belastingvrije opbrengst die wordt gebruikt om schulden af te lossen. Door de schulden af te bouwen ontstaat extra leningopnemingscapaciteit voor Henry Schein, die kan worden gebruikt voor algemene ondernemingsdoeleinden zoals de aanschaf van eigen aandelen en fusies en overnames.

Ondersteunen van professionals in de gezondheidszorg bij een efficiëntere praktijkvoering

Henry Schein streeft er ook in de toekomst naar zijn langdurige doel te bereiken: het ondersteunen van professionals in de gezondheidszorg bij een efficiëntere praktijkvoering door nieuwe oplossingen en technologieën te bieden ten gunste van de patiënten. Het aanbod van de onderneming bestaat uit meer dan 300 oplossingen in de volgende segmenten: business solutions die klanten helpen hun eigen bedrijf succesvol te beheren en te laten groeien; clinical solutions die de klanten ondersteunen toonaangevend te zijn op het gebied van zorg voor de patiënt; technology solutions die klanten helpen innovaties te implementeren waarvan de klinische omgeving en patiënten profiteren; en supply chain solutions die klanten voorzien van het uitgebreidste productassortiment van de sector en omvangrijke voorraden, waarbij de juiste producten op het juiste tijdstip worden geleverd.

‘Via ons betrouwbare netwerk van beproefde adviseurs voorzien wij klanten van waardevolle informatie, scholing en advies’, aldus Stanley M. Bergman, Chairman of the Board en Chief Executive Officer van Henry Schein. ‘Klanten vertrouwen op ons vanwege ons netwerk van gewaardeerde leveranciers en deskundigen uit het bedrijfsleven; ons uitgebreide aanbod aan technologie en diensten; onze excellente toeleveringsketen; onze sterke industriële en professionele relaties; en de getalenteerde Team Schein Members, die onze doelgroepen iedere dag ondersteunen.’

Omzet en aantal medewerkers Henry Schein

Na de spin-off van Animal Health heeft Henry Schein meer dan 18.000 Team Members in 31 landen, die zich inzetten voor meer dan 1 miljoen klanten. Gebaseerd op de pro-formaverkoop van ca. $ 9,0 miljard in 2017 (excl. bijdrage van 3,6 miljard van diergezondheid) bedraagt de omzetverdeling van de onderneming bij tandheelkunde $ 6,1 miljard, oftewel 68%; op medisch gebied $ 2,5 miljard, oftewel 28%; bij technologie en diensten voor toegevoegde waarde $ 338 miljoen, oftewel 4%.

Een op oplossingen gebaseerde aanpak

Hoewel Henry Schein van oudsher bekendstaat om de verkoop van producten voor de gezondheidszorg, zal het bedrijf in de toekomst de nadruk leggen op vier cruciale oplossingen die deel uitmaken van de uitstekende full-service waardepropositie: business solutions, waaronder financieringsmogelijkheden van apparatuur, praktijkanalyse, tussenhandel voor praktijken, rekruteringsdiensten, inkomstencyclusbeheer, advies over leasing, compliance-ondersteuning en meer; clinical solutions, zoals een uitgebreid assortiment aan implantaten, orthodontische apparatuur, materiaal voor botregeneratie, telegeneeskunde en adviesdiensten voor klinische besluitvorming; technology solutions, beheerd door Henry Schein One, de jointventure achter de bekroonde software voor praktijkmanagement Dentrix, een uitgebreid aanbod van digitale apparatuur, technische diensten en ondersteuning op locatie; en supply chain solutions, waaronder een toonaangevend fulfillmentsysteem voor productlevering en een systeem voor voorraadbeheer en individuele oplossingen voor de toeleveringsketen voor geïntegreerde levernetwerken en grootschalige praktijken.

‘Henry Schein is zoveel meer dan een leverancier van producten’, aldus de heer Bergman. ‘Wij bieden de oplossingen waarop professionals in de gezondheidszorg vertrouwen om efficiënter te opereren en patiënten te voorzien van de allerbeste zorg. Ons doel is het te groeien op tandheelkundig en medisch gebied door verder te investeren in de producten, technologieën, diensten en ondersteuning die tezamen onze unieke oplossingen voor de gezondheidzorg vormen. Wij hebben bijna negen decennia ervaring met het opnieuw uitvinden van oplossingen, inclusief 23 jaar als beursgenoteerd bedrijf, en leveren consistente resultaten terwijl markten veranderen. Wij zijn van plan de komende jaren op dit succes voort te bouwen.’

Lees meer over: Kennis, Markttrends, Praktijkinrichting, Producten, Thema A-Z
VGZ en KNMT in gesprek over inkoopbeleid

VGZ en KNMT in gesprek over inkoopbeleid

VGZ betreurt het dat tandartsen in De Telegraaf zijn beschuldigd van het maken van woekerwinsten. Dat heeft de zorgverzekeraar aan de KNMT laten weten. De KNMT en VGZ gaan nu binnenkort in gesprek over het inkoopbeleid van implantaten. De ANT is ook bereid tot overleg met VGZ maar wil eerst dat VGZ publiekelijk terugkomt op het eerdere bericht over de woekerwinsten op implantaten.

KNMT-voorzitter Wolter Brands en bestuursvoorzitter Kliphuis van VGZ hadden dinsdag een constructief gesprek. Het vond plaats naar aanleiding van een brandbrief die de KNMT maandag aan VGZ heeft gestuurd. Daarin heeft de KNMT laten weten dat de berichtgeving in De Telegraaf vorige week haar volledig in het verkeerde keelgat is geschoten. In de krant is volgens de KNMT en ANT ten onrechte gesuggereerd dat tandartsen massaal woekerwinsten zouden maken op implantaten. “Het stuk heeft de eer en goede naam van de gehele beroepsgroep aangetast, en de integriteit van tandarts-implantologen is ook nog eens geschaad”, zegt de KNMT.

VGZ en KNMT in gesprek

VGZ heeft de KNMT laten weten de beschuldigingen van woekerwinsten in De Telegraaf te betreuren. Daarnaast zegt de zorgverzekeraar de signalen van de KNMT over haar inkoopbeleid serieus te nemen en dat beleid eventueel bij te schaven. De partijen gaan daarover binnenkort met elkaar in gesprek.

ANT wil dat VGZ terugkomt op bericht woekerwinsten

De ANT geeft op haar website aan dat zij in principe bereid is om met VGZ in gesprek te gaan maar wil eerst dat VGZ publiekelijk – middels een bericht in de Telegraaf en op de website van VGZ – terugkomt op het eerdere bericht over woekerwinsten op implantaten. De ANT heeft VGZ hierover een brief gestuurd.

Lees meer over: Thema A-Z, Zorgverzekeringen
Maarten Jansen

Het KIMO wil mondzorgprofessionals nog meer betrekken bij ontwikkeling van richtlijnen

Het Kennisinstituut Mondzorg (KIMO), dat Klinische praktijkrichtlijnen (KPR) voor mondzorgprofessionals ontwikkelt, is in september 2016 opgericht. Inmiddels zijn we een paar jaar verder. Hoe gaat het nu met het KIMO? Wat is er al opgeleverd en wat zijn de plannen? dental INFO vroeg het aan directeur Maarten Jansen.

Je werkt sinds september 2018 als directeur bij het KIMO. Kun je iets vertellen over je achtergrond?

“Ik ben van oorsprong neerlandicus. Ik heb daarnaast een achtergrond in de zakelijke dienstverlening met de nadruk op (project)management en bedrijfsvoering. Vanuit die hoedanigheid ben ik programmamanager voor de richtlijnontwikkeling en ben ik verantwoordelijk voor de bedrijfsvoering van het KIMO. Ik neem ook kennis mee over het opleiden in organisaties. Denk dan aan toepassingen voor educatie, online leren en kennismanagement. Ik verwacht daarmee de implementatie van de richtlijnen op een nog hoger niveau te krijgen.”

Hoe is het KIMO ontstaan en wat doet het KIMO?

“Het KIMO werd opgericht in september 2016 door drie belangenorganisaties: de Associatie Nederlandse Tandartsen (ANT), de Federatie Tandheelkundige Wetenschappelijke Verenigingen (FTWV) en de Koninklijke Nederlandse Maatschappij tot bevordering der Tandheelkunde (KNMT). Deze drie organisaties zijn momenteel de leden van het KIMO. Wij willen professionals ondersteunen bij het verder verhogen van de kwaliteit van de mondzorg én het verder professionaliseren hiervan. Als eerste speerpunt hebben we gekozen voor het ontwikkelen en implementeren van op bewijs gebaseerde klinische praktijkrichtlijnen. Dit wordt ook wel EBRO genoemd: Evidence-based Richtlijnontwikkeling.”

Welke richtlijnen zijn tot nu tot stand gekomen en welke richtlijnen komen eraan?

“De te ontwikkelen richtlijnen zijn vastgelegd in het KIMO-Richtlijnprogramma 2017-2020. Hierin zijn in totaal twaalf richtlijnen opgenomen, namelijk:
1. Peri-implantaire infecties (opgeleverd in 2018)
2. Implantaatgedragen prothese, module bovenkaak (opgeleverd in 2018)
3. Implantaatgedragen prothese, module onderkaak (opgeleverd in 2018)
4. Antistolling in de mondzorg (oplevering in het eerste kwartaal van 2019)
5. Mondzorg voor kwetsbare ouderen, wortelcariës (oplevering in het eerste kwartaal van 2019)
6. Mondzorg voor jeugdigen, module diagnostiek (oplevering in het tweede kwartaal van 2019)
7. Klachtenvrije derde molaar (in afrondende fase, oplevering in het tweede kwartaal van 2019)
8. Mondzorg voor jeugdigen, module preventie (oplevering in het tweede kwartaal van 2020)
9. Mondzorg voor jeugdigen, module behandeling (oplevering in het tweede kwartaal van 2020)
10. Polyfarmacie ouderen (oplevering in het tweede kwartaal van 2020)
11. Mondzorg voor aan huis gebonden kwetsbare ouderen (start in het tweede kwartaal van 2019, oplevering in het derde kwartaal van 2020)
12. Nader te bepalen onderwerp (start in het derde kwartaal van 2019, oplevering in het vierde kwartaal van 2020).”

Hoe wordt bepaald waarvoor richtlijnen moeten worden ontwikkeld?

“Voor het huidige meerjarenprogramma is gekozen na raadpleging van mondzorgprofessionals en in overleg met de betrokken beroepsorganisaties, de wetenschappelijke verenigingen en het Zorginstituut. Dit is onder meer gebeurd via een onderzoek door het Centraal Administratiepunt Peilstations (CAP) van de KNMT. Op deze manier kwamen we te weten welke onderwerpen als het meest relevant worden beschouwd in het veld, en welke specifieke knelpunten voor richtlijnontwikkeling in aanmerking komen. De richtlijnen zijn bedoeld om zo breed mogelijk ingezet te worden, dus voor de algemeen practicus, maar ook voor de gespecialiseerde tandarts en de mondhygiënist.”

Kunnen brancheverenigingen ook zelf richtlijnen blijven ontwikkelen en aanbieden, zoals de Richtlijn Endodontische diagnostiek en behandeling door De Nederlandse Vereniging voor Endodontie (NVvE) en de Richtlijn Derde molaar door de Nederlandse Vereniging voor Mondziekten, Kaak- en Aangezichtschirurgie (NVMKA)?

“Ik zou uiteindelijk alle relevante mondzorgrichtlijnen (EBRO en niet-EBRO) onder één dak zien. Zeker de richtlijnen waar de algemeen practicus mee wordt geholpen. De Endo-richtlijn hoort daar zeker bij. Hopelijk kan het KIMO in de toekomst verenigingen ondersteunen met de nodige expertise. Ik zou de verenigingen die niet willen wachten en nu aan de slag willen of al een richtlijn beschikbaar hebben, willen adviseren deze vooral op te leveren volgens de toetsingscriteria van het Zorginstituut. Dan is die slag in ieder geval alvast gemaakt.

Tot en met 2020 zitten we vast aan de afspraken die we hebben gemaakt met onze leden en de overheid. Hierdoor is er organisatorisch en financieel vrijwel geen ruimte om tussendoor richtlijnen te laten instromen. Ik denk dat het zinvol kan zijn om in de toekomst het KIMO-programma niet bij voorbaat dicht te timmeren. Als we meer ruimte overhouden, kunnen we meer inspelen op actuele behoeftes.”

Hoe verloopt de samenwerking met de beroepsverenigingen (KNMT, ANT en FTWV) bij het opstellen van richtlijnen?

“Er wordt constructief samengewerkt. Nu we in de fase zitten van concrete resultaten, ontstaat het besef dat we op de goede weg zijn. We leveren daadwerkelijk een bijdrage aan de kwaliteit in de mondzorg. Onze leden willen dan ook na 2020 door met het KIMO. We zijn druk bezig met de nieuwe structuur van de organisatie, de financiering en de inhoud van het volgende richtlijnenprogramma voor de periode 2021-2025.”

Is iedereen blij met de richtlijnen?

“Ik hoor veel positieve geluiden over het feit dat we als mondzorg gezamenlijk werken aan (het verbeteren van) kwaliteit van zorg en dat het KIMO dat mogelijk maakt. Om in de woorden van Fred Rozema (hoogleraar Orale Geneeskunde bij ACTA) te spreken: ‘Een richtlijn moet draagvlak hebben. Dat betekent in de eerste plaats dat je er in je dagelijkse werk iets aan moet hebben. Daarom bestaan de Richtlijn Ontwikkel Commissies (ROC) voor een groot deel uit mondzorgprofessionals die in de praktijk werkzaam zijn’. Voor ons is het dus van het grootste belang dat de richtlijn helpt en ondersteunt. We zullen deze op de beste wijze beschikbaar en toegankelijk moeten laten zijn. De richtlijn mag op geen enkele wijze leiden tot meer administratieve verplichtingen.”

Is het voor mondzorgprofessionals verplicht om via de richtlijnen te werken?

“Een richtlijn bundelt het meest actuele wetenschappelijke bewijs met de laatste inzichten uit de klinische praktijk en is daarmee ondersteunend voor de professional. Die hoeft dan niet zelf meer op zoek te gaan naar de beste oplossing. Maar deze moet natuurlijk wel blijven nadenken. In bijzondere omstandigheden zal hij of zij gemotiveerd moeten kunnen afwijken van de richtlijn. Het KIMO werkt onafhankelijk en heeft geen afspraken met welke partij dan ook over de inzet van richtlijnen in de praktijk.”

Let de Inspectie Gezondheidszorg en Jeugd (IGJ) erop of iemand volgens de richtlijnen werkt?

“Deze vraag zou je aan de IGJ moeten stellen. Wij hebben een goede relatie met de IGJ, maar we hebben geen afspraken met elkaar. Een richtlijn is en blijft een advies en is geen voorschrift of protocol.”

Waar kunnen mondzorgprofessionals terecht met vragen over richtlijnen?

“Dat kan direct bij ons. Op onze website www.hetkimo.nl staat een heleboel informatie. Voor vragen zijn we per mail bereikbaar:  info@hetkimo.nl.”

Je werkt sinds september 2018 als directeur bij het KIMO. Ben je in deze periode al dingen tegengekomen die beter kunnen?

“Het KIMO was bij mijn aantreden al een goed georganiseerde organisatie. Ik heb op details van de bedrijfsvoering accenten kunnen leggen. Het proces van richtlijnontwikkeling is een geoliede machine. Het is vooral van belang, dat we daadwerkelijk twaalf richtlijnen hebben staan in 2020, die dan ook nog eens in de volle breedte gekend en gebruikt worden.

Ik wil daarom nog meer doen op het gebied van implementatie. Daarom zijn we onlangs begonnen met samenvattingskaarten, waardoor de richtlijn nog toegankelijker wordt. Daarnaast kunnen en moeten we meer doen aan onze naamsbekendheid. Weet iedereen wie we zijn, wat we doen en wat we kunnen betekenen?

Ik denk bij voorkeur in termen van gezamenlijk optrekken en zou vanuit dat perspectief een oproep willen doen om zoveel mogelijk deel te nemen aan de komende commentaarrondes.”

Welke doelen heb je jezelf gesteld voor de (nabije) toekomst?

“Ik zou nog meer willen leunen op de expertise en kennis vanuit de praktijk. We zijn op zoek naar praktijken die structureel met ons willen meedenken. We komen nog met een toelichting, maar ik zou nu al willen zeggen tegen mondzorgprofessionals die belangstelling hebben: neem contact op en laat ons dit weten.

Voor de verdere toekomst kan ik me voorstellen dat het karakter van richtlijnen gaat veranderen. Nu is het ontwikkelen van een richtlijn nog een zaak van de lange adem. Gemiddeld zitten we nu op een doorloop van meer dan een jaar. Op zich is dat goed, want je moet altijd streven naar compleetheid en zorgvuldigheid. Maar tegelijkertijd is een richtlijn daardoor alweer snel aan herziening toe. Het zou anders kunnen. Dat je probeert richtlijnen in een korter tijdsbestek te ontwikkelen, bijvoorbeeld een aantal maanden, en dat dit leidt tot compactere of meer modulair ontwikkelde documenten.”

Interview door Yvette in ’t Velt voor dental INFO met Maarten Jansen, directeur van het KIMO.

Foto door Norbert Waalboer

Lees meer over: Kennis, Opinie, Richtlijnen, Thema A-Z
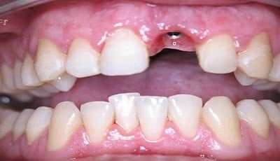
voortand

Extractie van een voortand… wat nu?

Soms is extractie van een voortand onontkoombaar. Vervanging door een implantaatgedragen kroon is dan de eerste keus. Het immediaat plaatsen van een implantaat in een extractie-alveole en dit implantaat direct voorzien van een tijdelijke kroon is de snelste en minst invasieve manier om dat te bereiken. Wat zijn de voorwaarden voor een succesvolle behandeling?

Consequenties bot na extractie

Na extractie van een gebitselement vindt er een hele cascade aan biologische veranderingen plaats waarbij aanmaak van bot aan de binnenzijde van de alveole gepaard gaat met botverlies aan de buccale zijde. Dit leidt onder andere tot het ontstaan van concaviteiten in het bovenfront en dit kan vervelende consequenties hebben voor de esthetiek. De mate waarin deze resorptie optreedt, op verschillende niveaus (resp. 3,5 en 7 mm vanaf de top van de processus alveolaris), is in kaart gebracht door Misawa et al. (2016).

Botvermeerderingstechnieken

Er bestaan verschillende botvermeerderingstechnieken die vooraf of tijdens het plaatsen van het implantaat uitgevoerd kunnen worden. Ze hebben allemaal één doel, namelijk: volume creëren om het implantaat te kunnen herbergen en de gingiva genoeg support te geven.

Behandelmethode: The Swiss approach

Een van de behandelmethodes is ‘the Swiss approach’ waarbij men eerst de extractie-alveole laat genezen om vervolgens de deels geresorbeerde processus alveolaris weer op te gaan bouwen.
Het tijdschema ziet er als volgt uit:

  1. Extractie van het gebitselement.
  2. Uitvoeren van de botopbouw (ongeveer 2 tot 3 maand na extractie).
  3. Plaatsen van het implantaat (ongeveer 2 tot 3 maand na botaugmentatie).
  4. Het mogelijk uitvoeren van een (tweede) zacht weefsel transplantaat.
  5. Het vervaardigen van de definitieve restauratie.
  6. Al met al neemt de gehele procedure dus 9 tot 12 maanden in beslag. Deze werkwijze duurt onnodig lang, is omslachtig en niet patiëntvriendelijk.

Behandelmethode: Immediaat plaatsen van implantaat na extractie

Het is onder voorwaarden ook mogelijk om het implantaat direct na extractie te plaatsen. Eén voorwaarde is wel dat er voldoende primaire stabiliteit van het implantaat aanwezig is. Er kan dan direct een tijdelijke kroon geplaatst worden, waarbij het noodzakelijk is dat deze niet meedoet in de occlusie en articulatie. Na 6 maanden wordt de tijdelijke kroon vervangen door definitieve kroon. Deze methode is patiëntvriendelijker omdat het aantal chirurgische ingrepen wordt gereduceerd tot één. Daarnaast heeft deze methode ook psychologische voordelen omdat de patiënt niet rond hoeft te lopen met een plaatje of etsbrug.

Procedure

Voorspelbaar werken is belangrijk omdat het om de esthetische zone gaat. Hiervoor is een goede pre-operatieve analyse essentieel. Het volgende stappenplan moet gevolgd worden.

1. Pre-operatieve analyse

Tijdens de pre-operatieve analyse wordt onder andere de afstand tussen het contactpunt van de kroon en het botniveau van het buurelement gemeten. Dit wordt gedaan met een pocketsonde onder lokale anesthesie. Wanneer deze afstand niet groter is dan 5 millimeter, dan is het vrijwel zeker dat de interdentale ruimte zal worden gevuld met papil. (Grunder, 2000) Het botniveau van de buurelementen is dus bepalend of er wel of geen mooie papil gecreëerd kan worden. Het is belangrijk om de patiënt van te voren goed in te lichten over de mogelijkheden.
Daarnaast moet bij het te extraheren element het mid-buccale botniveau gemeten worden. Wanneer de afstand tussen het botniveau en de gingiva niet meer dan 3 millimeter is, Wanneer deze afstand groter is, neemt de kans op recessie aanzienlijk toe.
Geconcludeerd kan worden dat de bestaande conditie van het parodontium van het te extraheren element prognostisch is voor het uiteindelijk esthetisch resultaat.

2. Extractie

  • Minimaliseer trauma
    Voor extractie van een gebitselement in de esthetische zone geldt dat er zo atraumatisch mogelijk geëxtraheerd moet worden.
  • Voorkom flap incisie
    Bij voorkeur gebeurt dit zonder opklap omdat de bloedvoorziening dan gehandhaafd blijft. Opklappen van de buccale mucosa leidt altijd toe meer resorptie van het onderliggende kaakbot en kans op recessie
  • Botlamel controleren
    Het is belangrijk dat na de extractie de integriteit van het botlamel gecontroleerd wordt. Dit betekent dat er op ongeveer 3 millimeter onder de gingiva bot gevoeld moet worden. Wanneer het botlamel niet intact is, kan er beter niet immediaat geïmplanteerd worden.
  • Zorg voor een schone alveole
    Het extractie alveole moet worden ontdaan van resten parodontaal ligament en/of een apicaal granuloom moet worden verwijderd.

3. Plaatsen implantaat

Het implantaat moet iets naar palatinaal geplaatst worden in de alveole. Dit zorgt voor een betere primaire stabiliteit, verkleint de kans op het ontstaan van een buccale perforatie en vermindert het risico op het ontstaan van een recessie. Om het implantaat meer palatinaal te kunnen plaatsen moet er eerst een pointer drill gebruikt worden. Met deze boor wordt er een begin gemaakt om vervolgens de taps-toelopende (punt- en kantsnijdend) boren te gebruiken. De laatste boor komt overeen met de interne diameter van het implantaat. Met een direction indicator wordt de primaire stabiliteit en de plaats van het platform van het implantaat ten opzichte van het zenit gecontroleerd. De ruimte die overblijft tussen het implantaat en de buccale lamel, moet worden opgevuld. Hiervoor wordt het bot verzameld dat vrij gekomen is bij de preparatie en wordt dit gemengd met een botsubstituut. Om te voorkomen dat men bij het aanbrengen van het bot aan het implantaat komt, wordt de direction indicator geplaatst en buccaal de juiste hoeveelheid bot/botsubstituut aangebracht. Vervolgens wordt de direction indicator verwijderd en het implantaat geplaatst.

4. Prothetische procedure

Het uiteindelijke resultaat is afhankelijk van vormgeving tijdelijke kroon. Hierbij is platform switching van belang omdat er dan minder botafbraak optreedt. Er wordt een verschroefbaar tijdelijk abutment geplaatst (Preformance Post). De tijdelijke voorziening wordt gemaakt met composiet waarbij de buccale zijde ondergecontoureerd wordt omdat er dan minder kans is dat er een recessie optreedt en er voorkomen wordt dat er extra bindweefsel aangebracht moet worden. De tijdelijke voorziening mag niet mee doen in de occlusie en articulatie.

5. Definitieve restauratie

Voor het vervaardigen van een definitieve restauratie wordt een geïndividualiseerde afdrukstift gebruikt. Het implantaat wordt dus, zoals hierboven beschreven, meer naar palatinaal geplaatst. Het nadeel hiervan is dat het schroefgat hierdoor sneller buccaal bevindt. In dat geval moet de definitieve kroon meestal gecementeerd worden. Wanneer een kroon gecementeerd wordt is het belangrijk om een retractiedraad aan te brengen om het doorpersen van cement te voorkomen.

Samenvatting

Het is belangrijk dat voorafgaand aan het immediaat plaatsen van een implantaat metingen uitgevoerd worden. Op deze manier kan er voorspelbaar gewerkt worden en kan er een gefundeerde keuze gemaakt worden om het implantaat wel of niet immediaat te plaatsen. Daarnaast is het van belang dat degene die gaat implanteren beslist én dat hij/zij zelf het element extraheert.

 

Ronnie Goené studeerde tandheelkunde aan de Universiteit van Amsterdam. Ruim 10 jaar was hij algemeen practicus in een mede door hem gestarte groepspraktijk (1975-1993), waarna hij in 1985, samen met anderen, de Kliniek voor Parodontologie Amsterdam oprichtte (1985-2003). Sinds 2004 is hij verbonden aan de afdeling Mondziekten, Kaak- en Aangezichtschirurgie van het ACTA/VU Medisch Centrum en Tendens Tandartsen te Amsterdam. Naast het verzorgen van (post)academisch onderwijs in de orale implantologie, houdt hij zich vooral bezig met het ontwikkelen van interdisciplinaire behandelstrategieën ten behoeve van patiënten met complexe tandheelkundige problemen. Van zijn hand zijn veel publicaties verschenen op het gebied van de parodontologie en implantologie. Hij geeft frequent voordrachten en cursussen in binnen- en buitenland op het gebied van de orale implantologie.

Verslag voor dental INFO door Marieke Filius, tandarts, van de lezing van Ronnie Goené tijdens het congres Chirurgie van Bureau Kalker

Lees meer over: Congresverslagen, Kennis, Restaureren, Thema A-Z
Heb je als mondhygiënist een droom: ga ervoor!

Heb je als mondhygiënist een droom: ga ervoor!

Als je behoefte hebt aan een beurs met alle informatie voor mondhygiënisten bij elkaar, dan organiseer je die tot gewoon zelf? Dat deed mondhygiënist Joanne Alkemade. dental INFO sprak met haar. Joanne vertelde over haar vak én over Dé Vakbeurs Mondhygiëne.

Van loondienst naar eigen praktijk

Joanne Alkemade is al 38 jaar mondhygiënist en heeft haar eigen praktijk in Helmond. Ze vertelt: “Voordat ik mijn eigen praktijk had, heb ik in bijna alle vakgebieden van de mondzorg gewerkt: in grote en kleine groepspraktijken, de solopraktijk, bij een instelling voor verstandelijk gehandicapten en in een ziekenhuis, en in de commercie. In 2006 ben ik voor mezelf begonnen. Ik liep al jaren rond met dit idee en hoe ik dit zou kunnen vormgeven. Toen ik de kans kreeg in Helmond, dacht ik: ik probeer het gewoon. En het gaat vanaf het begin hartstikke goed.”

Mondhygiënisten vrij toegankelijk

In de loop der jaren heeft Joanne veel zien veranderen in het vak. “Steeds meer patiënten weten de weg naar de mondhygiënist te vinden. Ik signaleer een grotere bewustwording: mensen willen graag hun gebit behouden en begrijpen dat een bezoek aan de mondhygiënist daartoe kan bijdragen. Tandartsen in mijn omgeving sturen patiënten steeds vaker door. Ik zie ook nieuwe praktijkvormen ontstaan: mondhygiënisten die samen met een tandarts een praktijk beginnen en mondhygiënisten die met elkaar een praktijk vormen. Dit zijn mooie ontwikkelingen die de mondgezondheid bevorderen. Daar doen we het uiteindelijk allemaal voor!”

Automatisering

Ook de automatisering ervaart Joanne als positief: “Zonder een goed computerprogramma kun je als mondhygiëniste eigenlijk niets. Het vergemakkelijkt ons werk, doordat we hiermee op een veilige en snelle wijze online gegevens met tandartsen kunnen delen. Zo komen we tot goede behandelplannen wat de patiëntenbehandeling ten goede komt. Een negatieve verandering is de toenemende regeldruk, maar de automatisering zorgt ervoor dat je toch nog aan je eigenlijke werk toekomt. Want een mondhygiëniste wil eigenlijk gewoon patiënten behandelen en niet alle dingetjes eromheen. Het helpt ook dat de behandeltechnieken en de apparatuur geavanceerder zijn geworden. Dat maakt het werk veel makkelijker. Ook qua hygiëne, tegenwoordig heb je apparatuur die veel beter je instrumenten reinigt. Je praktijkvoering kan nu veel efficiënter zijn.”

Profileren

Joanne vindt dat het beroep steeds meer wordt uitgedragen. “Social media speelt daar een belangrijke rol in. Ook met je website kun je veel patiënten bereiken. Als mondhygiënist kun je je steeds meer kunt profileren. De taakherschikking vind ik heel erg goed. Als mondhygiënisten mochten we al lang de taken doen die in de taakherschikking staan. Het enige verschil is, dat we dat nu ook in onze eigen praktijk mogen doen. Ik vind het prima, maar je moet er wel bekwaam in zijn. Het is alleen voor een bepaalde groep mondhygiënisten; de andere mondhygiënisten zullen moeten bijscholen.”

Corebusiness

Volgens Joanne is de corebusiness van mondhygiënisten het voorkomen van problemen. “We krijgen mensen vaak een beetje te laat. Ons ideaal is iedereen naar de mondhygiënist, zodat je je leven lang een gezond gebit kunt houden. Daar zijn wij de experts in. Als bijvoorbeeld kinderen op tijd weten hoe ze hun gebit moeten onderhouden, dan krijg je geen problemen. Dan zal gelijk het tekort aan tandartsen en mondhygiënisten een stuk minder worden.”

Van idee naar beurs

Behalve in haar praktijk, heeft Joanne een grote bijdrage aan het vakgebied geleverd door het oprichten van een vakbeurs voor mondhygiënisten. “Toen ik mijn praktijk begon, ging ik overal een beetje rondkijken, wat inspiratie opdoen, ik had natuurlijk een stoel nodig en apparatuur, een ruimte, een locatie…. Ik heb toen echt maandenlang het land door gereisd om ideeën op te doen en artikelen aan te kopen. Toen leek het me wel handig als er een beurs zou zijn waar al die leveranciers aanwezig waren, zodat je in één dag inspiratie kunt opdoen en nieuwe ontwikkelingen kunt zien.
Ik heb jaren met dat idee rondgelopen, maar zoiets kun je niet alleen doen. Toen heeft iemand me in contact gebracht met Congress Care, dat beurzen, congressen en bijscholingen organiseert. Zo ontstond in 2013 Dé Vakbeurs Mondhygiëne.

Dé Vakbeurs Mondhygiëne

Dit jaar wordt de Vakbeurs Mondhygiëne voor de zevende keer georganiseerd. Joanne vertelt: “Het begon heel kleinschalig, maar het wordt steeds groter. Ook de bezoekersaantallen groeien. We hebben alles op het gebied van een gezonde mond. Dus ook voor de mondhygiënist die al een eigen praktijk heeft en ideeën wil opdoen. Maar ook als je gaat beginnen. Je hebt dan bijvoorbeeld een stoel nodig en je wilt je hygiëneprotocol op gang hebben. Er zijn ook stands op het gebied van richtlijnen, microbiologie, sterilisatie….. Ook de NVM mondhygiënisten zijn er en enkele wervingbureaus. Dus als je als mondhygiënist op zoek bent naar een andere baan of iets erbij, dan kun je daar een speeddate doen.
We zouden graag nog een exposant met vakkleding hebben. Heel veel dames willen graag hun vakkleding passen, anders moet je het uit de catalogus kopen.”

Workshops

Tijdens de vakbeurs worden ook workshops georganiseerd. Joanne: “De workshops gaan vaak over nieuwe producten, bijvoorbeeld over een nieuw desinfectiemiddel. We hebben ook wel eens iemand gehad die vertelde over de kaakontwikkeling bij kinderen of verzorging van implantaten. Er is al jaren een workshop op het gebied van praktijkhygiëne. Dit jaar hebben we iets nieuws, namelijk twee workshops over de relatie tussen een slechte mondverzorging en hartfalen. Daar wordt ook een demonstratie gegeven van een reanimatie met behulp van een AED.”

Tip

Tot slot heeft Joanne nog een tip voor andere mondhygiënisten: “Ik liep al jaren rond met het idee om een vakbeurs te organiseren, maar ik dacht dat het me niet zou lukken. Ik ben toch mijn idee trouw gebleven en uiteindelijk ben ik met de juiste personen in contact gekomen. Mijn droom is inmiddels uitgekomen. Dus alle mondhygiënisten die plannen of ideeën hebben: ga ervoor, want je ziet dat het kan!”

Lees meer over de Vakbeurs Mondhygiëne, 13 april, Den Bosch 

Lees meer over: Carrière, Mondhygiëne, Opinie
Netflix documentaire Root Cause zaait onterecht paniek over wortelkanaalbehandelingen

Netflix documentaire Root Cause zaait onterecht paniek over wortelkanaalbehandelingen

De Australische documentaire Root Cause op Netflix verspreidt angst en desinformatie omtrent wortelkanaalbehandelingen. Meerdere tandheelkundige verenigingen sloegen alarm hierover in een brief.

Wortelkanaalbehandeling

De documentaire betreft de 10-jarige zoektocht van Frazer Bailey naar de aanleiding van zijn aanhoudende ziekten. In de documentaire komt Bailey tot de conclusie dat dit alles het gevolg is van een wortelkanaalbehandeling die hij op jonge leeftijd onderging. Bailey kampte met ziekten als kanker, hartkwalen, depressie, en meer. Aangemoedigd door ‘holistische tandartsen’, trok hij zijn conclusie.

Trekken in plaats van behandelen

Medici waarschuwen echter tegen de documentaire. Netflix, Amazon en Vimeo verspreiden naast het verhaal van Bailey tevens angst en desinformatie onder een wereldwijd publiek. De docu beweert namelijk dat het trekken van tanden beter is voor mensen dan het behandelen hiervan.

Onjuiste resultaten

In een brief schreven de American Dental Association, American Association of Dental Research en American Association of Endodontists over de gevolgen hiervan. Zij dragen namelijk aan dat de conclusie van Bailey gebaseerd is op onderzoek uit de jaren twintig van de vorige eeuw. Experimenten werden destijds onder slechte, onhygiënische omstandigheden uitgevoerd en vervolgonderzoek heeft aangetoond dat de eerdere resultaten onjuist zijn. De vraag is dus waarom iets als een feit wordt gepresenteerd als al is bewezen dat het gaat om onjuiste resultaten.

“De KNMT schaart zich achter het initiatieven van haar internationale collega’s”, zegt de KNMT  in haar persbericht. Voorzitter Wolter Brands: “Veilige mondzorg en goede patiëntenvoorlichting staan ook bij ons hoog in het vaandel. Dergelijke films geven onjuiste informatie en zaaien onnodig paniek. We zullen er alles aan doen om patiënten gerust te stellen.”

Ook de ANT vindt de documentaire zorgelijk en heeft deze zorgen geuit middels een brief aan Netflix.

Bron:
joop.bnnvara.nl

Update artikel: Netflix verwijdert documentaire Root Cause na kritiek mondzorg 

 

Lees meer over: Opmerkelijk, Thema A-Z
Wim Kluter

Internationaal congres in Nederland over mondzorg bij kwetsbare ouderen

In mei wordt het jaarcongres van het European College of Gerodontology (ECG) in Nederland gehouden. De Nederlandse Vereniging voor Gerodontologie (NVGd) is nauw betrokken bij de organisatie van dit congres. dental INFO vroeg aan Wim Klüter, voorzitter van de NVGd, wat er op dit congres aan bod komt.

Hoe is het gelukt om dit congres naar Nederland te halen?

“Van oudsher hebben Nederlandse wetenschappers zitting in het ECG. Onze ereleden Cees de Baat en Warner Kalk waren destijds betrokken bij de oprichting. Het is uniek dat dit jaar het ECG in Amersfoort wordt georganiseerd en dat de NVGd hiervan gastheer is. De inkomend voorzitter van ECG – Gert-Jan van der Putten, specialist ouderengeneeskunde – heeft hier persoonlijk voor gezorgd. We zijn daar uitermate blij mee, vooral omdat het thema precies aansluit bij onze doelstelling: multidisciplinair samenwerken.”

Wat is het belang van dit congres?

“Het stelt de Nederlandse (mond)zorgverlener in staat om in korte tijd kennis te nemen van de nieuwste inzichten op het gebied van de ouderenzorg. Daarbij is het een pluspunt dat vooraanstaande buitenlandse sprekers aanwezig zijn, vanuit landen waar al meer ervaring is opgedaan met ouderenzorg dan in Nederland. Nederland doet het niet slecht in Europa, maar van oudsher zijn de Scandinavische landen en Amerika verder in de ouderenzorg dan wij. We zijn daarom blij dat onder andere professor Rita Jablonski en professor Paul Brocklehurst voordrachten verzorgen. Maar ook onze Nederlandse coryfeeën Andrea Maier, Marcel Olde Rikkert, Jos Schols, Pim Assendelft, Claar Wierink en Jo Frencken hebben ieder een goed verhaal. Juist vanwege de pluriformiteit en het thema ‘samenwerking’ belooft het een interessant congres te worden.

Daarnaast is het informeel samenzijn erg belangrijk. Dit is een unieke gelegenheid om ervaringen te delen en inzicht in andermans praktijkvoering te krijgen.”

Is het congres alleen voor tandartsen-geriatrie bedoeld?

“Tandheelkundige zorg voor ouderen is niet alleen voorbehouden aan speciaal daarvoor opgeleide tandartsen-geriatrie. Ook in de algemene praktijk neemt het aantal ouderen toe en wordt de tandarts meer en meer geconfronteerd met de zorgvraag van ouderen. Diagnostiek en behandeling van ouderen vraagt om specifieke kennis en dus om nascholing op het terrein van de geriatrische tandheelkunde.

Elke mondzorgverlener kan zich op het congres op de hoogte stellen van de ontwikkelingen binnen geriatrische tandheelkunde. Dit zal de zorg voor oudere patiënten in zijn of haar praktijk ten goede komen. Het congres richt zich ook niet alleen op tandartsen, maar ook op mondhygiënisten, tandprothetici, preventiemedewerkers, klinisch geriaters, specialisten ouderengeneeskunde, sociaal geriaters, huisartsen, studenten tandheelkunde en studenten mondzorgkunde. Ook andere belangstellenden zijn van harte welkom, zoals praktijkondersteuners en wijkverpleegkundigen.”

Wat voor onderwerpen komen aan bod?

“Het congresprogramma is gevarieerd met een breed scala aan onderwerpen en aandacht voor actuele ontwikkelingen in de mondzorg voor (kwetsbare) ouderen. Er spreken gerenommeerde nationale en internationale sprekers. Het stelt de Nederlandse collega’s in staat om in korte tijd een goed overzicht te krijgen van de moderne inzichten met betrekking tot de (algemene) ouderenzorg. De aanwezige sprekers zien we normaliter niet in het gangbare tandheelkundig congrescircuit. Zo spreekt prof. Andrea Maier over de nieuwste inzichten in veroudering en de complicaties voor de mond. Aan bod komt ook het concept van Huber en wat dit voor de mondzorgverlening betekent.”

Kun je iets meer over vertellen over het concept van Huber?

“In 2011 introduceerde Machteld Huber het concept positieve gezondheid in Nederland. In dit concept wordt gezondheid niet meer gezien als de af- of aanwezigheid van ziekten, maar als het vermogen van mensen om met de fysieke, emotionele en sociale levensuitdagingen om te gaan en zoveel mogelijk zelf de regie te voeren. In haar visie is gezondheid niet langer strikt het domein van zorgprofessionals, maar van ons allemaal. Het gaat immers om het vermogen om met veranderende omstandigheden om te kunnen gaan.

Huber onderscheidt zes gezondheidsdimensies om het ‘gezondheidswelzijn’ te meten:

  • lichaamsfuncties: medische aspecten, fysiek functioneren, klachten en pijn, energie;
  • mentale functies en beleving: cognitief functioneren, emotionele toestand, eigenwaarde en zelfrespect, gevoel controle te hebben, zelfmanagement en eigen regie, veerkracht;
  • spiritueel-existentiële dimensie: zingeving, doelen, idealen, toekomstperspectief, acceptatie;
  • kwaliteit van leven: welbevinden, geluk, genieten, ervaren gezondheid, levenslust, balans;
  • sociaal maatschappelijke participatie: sociale en communicatieve vaardigheden, betekenisvolle relaties, sociale contacten, maatschappelijke betrokkenheid, betekenisvol werk;
  • dagelijks functioneren: basis Algemeen Dagelijkse Levensverrichtingen (ADL), instrumentele ADL, werkvermogen.

Door de focus op ‘gezondheid’ in plaats van op ziekte te leggen ontstaat een heel ander zorgaanbod en een andere filosofie. Deze theorie heeft het denken en handelen in de ouderenzorg totaal veranderd. De vraag is nu: wat betekent dit voor de mondzorgverlening?”

Interview door Yvette in ’t Velt met Wim Klüter, voorzitter van de Nederlandse Vereniging voor Gerodontologie (NVGd) over het jaarcongres van het European College of Gerodontology (ECG).

Het jaarcongres van het European College of Gerodontology (ECG) vindt plaats van 15 t/m 17 mei 2019 in Amersfoort.

Lees ook het artikel: “Passende mondzorgverlening voor kwetsbare ouderen wordt een steeds groter en complexer probleem!”

 

Lees meer over: Ouderentandheelkunde, Thema A-Z
Jaarverslag DHIN 2018 Preventie heeft de toekomst

Jaarverslag DHIN 2018: Preventie heeft de toekomst

Dental Health International Nederland (DHIN) publiceerde het jaarverslag 2018 onder het motto: “preventie heeft de toekomst”. De campagne Brush, Wash & Smile sluit hierop aan. Hier focust DHIN zich op het belang van gelijke kansen en dus goede preventie voor iedereen.

Hulp waar nodig

DHIN staat voor het bevorderen van de mondgezondheid van achtergestelde groepen in binnen- en buitenland. De vrijwilligersorganisatie zamelt apparatuur, instrumentarium en gebruiksmaterialen in om deze naar lagelonenlanden te zenden. Zo bieden zij tandheelkundige hulp waar nodig is.

Preventie

Volgens DHIN is het volgen van onderwijs van groot belang voor de toekomst van een land. Het tegengaan van schoolverzuim is dan ook voor groot belang. Uit onderzoek blijkt dat structureel handen wassen en tweemaal daags tandenpoetsen met fluoride tandpasta tot de helft minder schoolverzuim leidt. Om deze reden werd de preventielijn Brush, Wash & Smile opgezet.

Brush, Wash & Smile

In deze campagne werd het geven van Engelse lessen in lagelonenlanden gecombineerd met praktijklessen handen wassen en tandenpoetsen. De campagne werd uit 250 aanmeldingen genomineerd voor de NRC charity award.

Preventie Adoptie Plan

Naar aanleiding van Brush, Wash & Smile liep tevens het Preventie Adoptie Plan, waarbij bestaande tandartspraktijken de nazorg van het project op zich kunnen nemen. Zij kunnen een school adopteren, ondersteunen en volgen via WhatsApp. In december zijn hiervoor pilots gestart in Gambia, Oeganda, India en op Ambon.

Bron:
dhin.nl

Lees meer over: Markttrends, Thema A-Z
ids

Het succes van IDS: 12 – 16 maart 2019 in Keulen

De 38ste International Dental Show (IDS) staat gepland van 12 tot en met 16 maart 2019 in Keulen. De IDS is wereldwijd één van de grootste vakbeurzen op tandheelkundig gebied met ca 2.300 exposanten uit meer dan 60 landen (70% uit het buitenland), 170,000 m² expositieruimte en digitale diensten voor zowel bezoekers als exposanten.

 

The success story of IDS continues

The International Dental Show (IDS) is opening its doors for the 38th time from 12 to 16 March 2019. Around 2,300 companies from over 60 countries are awaited in Cologne for the world’s biggest trade fair for dentistry and dental technology. As such, the entire dental industry is represented at the IDS, including all the international market leaders, which makes it unique in terms of depth and breadth: from dental medicine, to dental technology, infection protection and maintenance, through to customer services, information, communication and organizational materials. Due to its entirety and high number of innovations IDS impressively underlines its significance as a forward-looking trendsetter of the dental industry. No other dental trade fair worldwide presents such a wide spectrum of offers of dental products and services.

Gross floor area of over 170,000 m²

IDS 2019 covers Halls 2, 3, 4, 5, 10 and 11, spanning a total gross floor area of over 170,000 m².  Not least due to the high number of registrations, the GFDI – the Gesellschaft zur Förderung der Dental-Industrie mbH, the commercial enterprise of the Association of German Dental Manufacturers e.V. (VDDI) and Koelnmesse are anticipating that IDS 2019 will be able to repeat the excellent result of the previous event also in terms of the number of visitors. 155,000 trade visitors from 156 countries were recorded at IDS 2017.

Exhibitors from 60 countries

Of the expected approx. 2,300 companies from 60 countries well over 70 percent of the exhibitors come from abroad – an indication of the high level of internationality
of IDS. The most strongly represented countries among the exhibitors are Italy, the USA, the Republic of Korea, China, Switzerland, France and Great Britain. In addition to this, numerous foreign group stands will be represented in Cologne again. Up until now 19 groups have registered for IDS from Australia, Argentina, Brazil, Bulgaria, China, France, Great Britain, Hong Kong, India, Israel, Italy, Japan, the Republic of Korea, Pakistan, Russia, Spain, Taiwan, Turkey and the USA. With the integration of Hall 5, IDS is creating the necessary capacity for the strong demand on the part of the exhibitors and visitors. Here, among others several large suppliers of consumer prophylaxis will be exhibiting. Hall 5 fits in well with the natural tour of the trade fair and is perfectly connected to the ‘mobile’ Boulevard entrance area between Halls 5 and 10, which we will be opening in addition to the Entrances South, East and West to ensure an optimal visitor flow. Here, the visitors will primarily be led to the fair grounds via shuttles from the trade fair car park and the external visitor car parks. The integration of Hall 5 further enhances the overall quality of stay for the visitors of IDS: a “Food Court” in Hall 5.1, the wide aisles and the light-flooded passages provide an improved orientation and lend the event an even better structure. Furthermore, the smooth, visitor-friendly access situation guarantees a more even distribution of the visitors across all of the exhibition halls.

IDS app for mobile phones and iPads

Once again in 2019, the International Dental Show is sticking to its recipe for success by continuing to focus on the business and product information at the stands of the exhibitors. This is why the trusted regulation will be adhered to that the opening day of the fair, 12 March 2019, will as the “Dealer’s Day” concentrate on the  dental specialised trade and importers. In this way, they are to be given the opportunity to hold intensive sales negotiations in the corresponding atmosphere.
An important theme that is affecting all industries across the globe and which will also be clearly perceptible at IDS 2019 is the “digitalisation”. IDS has accordingly also
completely relaunched its website, turning it into a digital information platform, which inspires with its visual imagery and which is intuitive to navigate through.

The IDS app for mobile phones and iPads as well the newsletter information are also aligned with this digital “look & feel”. The visitors can use the IDS app in the run-up to the event to gain information on the exhibitors and products as well as on the accompanying event programme fast and conveniently. The interactive hall plan makes sure the visitors don’t lose their orientation. The navigation system of the app guides the visitors through the halls to the desired exhibition stands in a targeted
manner. The app also contains information a list of exhibitors of course as well as information on the event programme and on-site services.

And the digital tool Matchmaking365 supports the trade visitors in establishing valuable business contacts even before the trade fair starts. Here concrete advance  information and offers can be requested and appointments at the trade fair can be arranged – simply from the comfort of one’s own desk or even en route using the
app.

Speakers Corner’ of IDS

In addition to extensive live demonstrations and presentations that take place alongside the product presentations at numerous stands, the ‘Speakers Corner’ of IDS opens up additional opportunities to gather information. The exhibitors can use the hosted visitor forum for lectures and product presentation as an additional means of presenting new products and trends from their offer of products and services.

Ticket Shop IDS

Thanks to the many online services, your arrival, stay and fair ticket can be booked quickly and easily on the IDS website. It has already been possible to register and purchase ticket via the online Ticket Shop since the end of November. Anyone with vouchers should exchange these for an E-Ticket in advance in the Ticket Shop.

Public transport network

Together with the E-Ticket the trade visitors also receive a transport ticket for buses and trains belonging to the Rhein-Sieg transport network (VRS), the ticket is
also valid for the Rhine-Ruhr transport network for the first time. Hence, the trade fair guests can choose from attractive overnight offers in the outskirts of Cologne
and throughout the entire Rhein-Ruhr metropolitan region and travel to IDS using public transport free of charge. Thanks to the outstanding infrastructure
connections of the fair grounds, the cities of Düsseldorf and Bonn are reachable in under 30 minutes and the metropolitan Rhine-Ruhr area comprising of the cities
Duisburg, Essen, Gelsenkirchen, Mülheim or Dortmund can be reached within 45 to 60 minutes. Trade fair guests, who arrive at Düsseldorf Airport or who stay in a hotel in Essen, can use the regional express trains, suburban trains, trams and city buses and thus reach the Messe Köln-Deutz station and/or trade fair quickly and
conveniently. Furthermore, this additional service also offers accommodation options of all categories in smaller cities and communities that lie on the Deutsche
Bahn routes connecting the surrounding region with the Cologne trade fair location (Düren, Leverkusen, Solingen, Troisdorf, Siegburg, Hennef). Further information on
the rail network of the Rhein-Sieg public transport network and the Rhein-Ruhr public transport network can be found at www.vrsinfo.de/ and at www.vrr.de.

IDS (International Dental Show) takes place in Cologne every two years and is organised by the GFDI Gesellschaft zur Förderung der Dental-Industrie mbH, the
commercial enterprise of the Association of German Dental Manufacturers (VDDI) and is staged by Koelnmesse GmbH, Cologne.

 

ids

 

 


 

Lees meer over: Kennis, Markttrends, Partnernieuws, Partnernieuws, Thema A-Z